🔥 朱耕甫醫師 的專業解答
無論是剛植牙幾個月、還是已經使用多年,只要出現牙齦紅腫、流血或牙根附近長膿包,都可能是「植體周圍炎」的警訊。它不只會造成口腔異味,嚴重時甚至讓植牙鬆脫。造成這種情況的原因包括清潔不佳、牙周病復發、糖尿病控制不良或吸菸等因素。若及早發現深入清潔,仍有機會挽回植體健康;但若延誤治療,感染將擴散至齒槽骨,最終恐須移除重植,還會需要經過漫長的補骨復原。
什麼是植體周圍炎?和一般牙周病有什麼不同?
植體周圍炎,其實就是「發生在人工牙根上的牙周病」。
簡單來說,它是一種發炎與感染導致齒槽骨破壞的疾病,會讓植牙區紅腫、流血,甚至造成植體搖晃、牙齦冒膿。雖然聽起來和一般牙周病很像,但植體周圍炎的破壞速度更快、治療更困難,若沒有及時控制,嚴重時甚至必須移除整個植體。
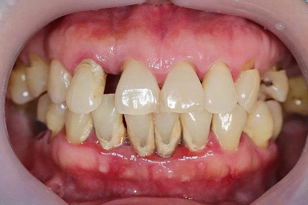
植體周圍炎vs.一般牙周病,5個主要差異

植體周圍炎(圖片來源:Zero Peri-Implantitis: A Novel Concept in Implant Dentistry)

牙周病(圖片來源:Periodontitis (Gum Disease): Symptoms, Causes, and Treatments)
究竟植體周圍炎和一般牙周病差在哪裡呢?以下是它們的五個主要差別:
- 發炎位置不同
牙周病是發生在自然牙的牙根周圍。而植體周圍炎則是發生在「人工牙根(植體)」的周邊組織,這是因為植體是金屬材質,沒有自然牙的防護韌帶,細菌更容易直接侵入齒槽骨。 - 齒槽骨發炎症狀更明顯
植體周圍炎的病程通常比牙周病發展得更快,常見症狀包含:牙齦紅腫、刷牙流血、植牙區疼痛等等,這些都是齒槽骨發炎、骨吸收的警訊。而當你出現牙齦長膿包的狀況時,幾乎可確定你的植體周圍炎已進入中後期階段了。 - 防禦力與修復力較弱
自然牙根周圍有牙周韌帶與豐富血液循環,可幫助身體抵抗細菌、促進修復;但植體周邊的血流量少、組織附著力弱,一旦受感染就更不容易恢復。 - 病因與生活習慣息息相關
除了口腔清潔不良,吸菸、糖尿病、夜磨牙或咬合過重都可能導致植體周圍炎發生。特別是抽菸者,由於血流受尼古丁抑制,牙齦更容易缺氧,成為細菌滋生的溫床。 - 治療方式不同、難度更高
牙周病可透過洗牙與刮治清除感染,但植體周圍炎由於植體表面有螺紋設計,不易清潔乾淨,常需搭配水雷射消毒、手術翻瓣或骨再生治療。若感染太深,甚至必須移除植體重做。
🔔 小編建議這樣做:
若你在植牙區域發現牙齦紅腫、流血或有異味,千萬不要自行觀察太久才去就醫。因為這些看似微小的問題,其實是齒槽骨發炎的早期警訊,只有越早處理,才越有機會保住植體喔!
為什麼會得植體周圍炎?常見7大原因一次了解
植體周圍炎的發生原因,其實大多與細菌感染與生活習慣有關。
通常來說,若是植牙後沒做好口腔清潔、或身體狀況讓牙齦抵抗力變弱,就容易讓細菌沿著假牙邊緣滲入,造成齒槽骨發炎症狀,進而導致植體鬆動、牙齦化膿,甚至出現植牙後牙長膿包的問題。
導致植體周圍炎的7大常見原因
接下來,就跟著小編一起深入了解導致植體周圍炎的7大原因吧:
- 口腔清潔不確實
這是最主要的原因。植牙區特別容易卡垢,若只用牙刷清潔,很難真正清除乾淨。若植牙後沒確實清除假牙下方的食物殘渣,細菌就會在牙齦邊緣形成牙菌斑,進一步導致發炎與骨吸收。 - 有牙周病史
如果你有牙周病病史,可要小心嘍!有牙周病史的人,在植牙後得到植體周圍炎風險通常會必較高,原因是口腔菌叢環境較不穩定、免疫反應異常,導致細菌容易再次入侵。 - 吸菸習慣
吸菸會讓牙齦血管收縮、降低免疫力,導致清潔困難、氧氣供應不足,細菌更容易滋生。因此相較非吸菸者,吸菸者發生植體周圍炎的風險會比較高。 - 糖尿病控制不良
血糖控制差會讓組織修復能力下降、抵抗力變弱。若你有糖尿病,一旦得到植體周圍炎,發炎反應就可能更為劇烈,多半會出現常見的齒槽骨發炎症狀如紅腫、流膿、牙齦退縮等。 - 假牙邊緣太深或黏著劑殘留
若假牙邊緣過深、或黏著劑殘留在牙齦下方,這些死角往往是無法自行清潔的地方,久而久之便會成為細菌聚集溫床,導致慢性感染。 - 咬合力過重或睡覺時磨牙
長期咬合壓力過大,會讓植體與齒槽骨之間產生微裂縫,進而引起骨吸收與植體鬆動。若同時存在感染,就會加速植體周圍炎惡化。 - 術後回診與保養不足
植牙完成後定期回診也是很重要的!因為醫師需定期檢查咬合、假牙密合度與清潔狀況,並透過專業洗牙維持你的植體健康。如果沒有定時術後回診,抑或用心保養,就有可能引發植體周圍炎。

植體周圍炎有哪些症狀?8個狀況快速掌握
植體周圍炎的症狀其實就像「植牙版的牙周病」,但發展速度更快、破壞也更深。
也就是說,只要你在植牙區出現紅腫、流血、口臭、膿包、甚至植體搖晃等狀況,都可能是齒槽骨發炎的警訊。越早發現這些異常,越能在輕微階段介入治療,保住植牙。
8個常見的植體周圍炎症狀
下面是8個植體周圍炎的常見症狀,如果你在植牙後有出現以下情況,建議立即前往診所就醫,千萬不要拖延,導致問題更嚴重!
- 牙齦紅腫與出血
植體周圍炎初期常見症狀是刷牙或使用牙線時牙齦流血。許多人以為只是輕微牙齦炎,但其實這是細菌開始攻擊植體周圍組織的警訊。 - 口臭持續、味道怪異
感染後的牙齦會產生含硫化物氣體,導致口臭。若漱口後臭味仍久久不散,就要懷疑有細菌滋生。 - 牙齦出現膿包
植牙周圍炎是非常明顯的「植牙後牙長膿包原因」之一,代表齒槽骨下已有膿液堆積。若膿包反覆出現或按壓會痛,幾乎可確診為植體周圍炎。 - 牙齦萎縮、露出植體邊緣
感染導致牙齦組織退縮,讓金屬邊緣或假牙底部暴露出來,看起來像牙齒「越來越長」,這也是骨吸收惡化的徵兆。 - 植牙區疼痛或腫脹
若刷牙、咬合時感到不適或壓痛,通常代表你已經出現牙齦發炎或骨吸收的情形了,因為疼痛感多由深層感染或膿液壓迫造成。 - 植體搖晃或假牙鬆動
這是非常危險的情況,通常意味著你的齒槽骨已喪失支撐力。如果你有植牙植體搖晃的狀況出現,建議應立即就醫,否則植體可能脫落。 - 牙齦顏色變深或發亮
牙齦變得暗紅、暗紫或發亮,這一般來說是因血液循環受阻、組織壞死的早期徵兆。 - 局部發熱或腫塊
嚴重感染時,你可能會感覺牙齦摸起來發燙、腫塊變硬,甚至伴隨輕微發燒。這時就屬於中後期炎症了,必須盡快清創,避免情況惡化。

數據引用:
根據《Derks & Tomasi, 2015(J Clin Periodontology)》的系統性回顧,全球約有22%的植牙出現植體周圍炎症狀,其中最常見的臨床表現包括牙齦紅腫、出血與膿液分泌,而嚴重者則伴隨齒槽骨吸收與植體鬆動。(數據來源:《植牙周圍的健康與疾病:現今流行病學的全面性分析》)
哪些族群最容易得植體周圍炎?你也是高風險族群嗎?
其實,有些人天生就比較容易發生植體周圍炎。這不只是清潔問題,還與口腔條件、生活習慣及身體健康狀況有關。以下幾類人,需要特別注意植體的長期健康,因為一旦感染,齒槽骨發炎症狀往往進展得更快、更嚴重。
容易得植體周圍炎的族群一:口腔清潔不周
- 不論是真牙還是假牙,都需要每天確實清潔,否則牙菌斑與牙結石會逐漸堆積。
- 若長期累積牙周病菌,牙齦容易出現紅腫、發炎甚至出血。
- 植牙假牙與牙齦間本身存在微小縫隙,若清潔不夠徹底,這些縫隙就會成為細菌滋生的「盲點」,導致植體周圍炎發生。
容易得植體周圍炎的族群二:口腔角化牙齦不足

左圖/無角化牙齦的植體、右圖/有角化牙齦的植體(圖片來源:A. Case showing lack of keratinized gingiva in the implant site. B. After gingival augmentation.)
- 「口腔角化牙齦」是牙齦邊緣淡粉色、較堅韌的組織,可保護牙齦與植體周邊。
- 若角化牙齦萎縮,會讓牙齦溝更容易被食物殘渣卡住,引起細菌入侵。
- 隨著年齡增長、牙齦萎縮或長期缺牙,角化牙齦會變薄,植體周圍防護力下降,增加感染機率。
容易得植體周圍炎的族群三:口腔不良習慣
- 抽菸、嚼檳榔都會損害牙齦血液循環,降低自我修復能力。
- 吸菸者的口腔菌相改變,牙周病菌與植體周圍炎致病菌高度重疊。
- 若原本就有牙周病且控制不佳,發生植體周圍炎的機率會顯著提升。
容易得植體周圍炎的族群四:糖尿病患者
- 若糖尿病控制不良,血糖過高會讓白血球功能下降,免疫力減弱。
- 抵抗力降低後,牙齦更容易受細菌感染,引發植體周圍炎。
- 糖尿病患者的傷口癒合速度也較慢,導致植體感染後更難康復。
植體周圍炎初期有哪些居家緊急處理法?
植體周圍炎初期若能及早發現、正確處理,就能大幅降低病情惡化的風險。
初期輕微紅腫、出血或異味通常代表細菌在牙齦邊緣累積,這階段仍屬可逆狀態,透過正確清潔與臨時護理,有機會改善發炎。但若延誤或錯誤處理,感染可能迅速進展成骨吸收,導致齒槽骨發炎以及植體搖晃。
植體周圍炎居家緊急處理方法一:每天確實刷牙三次
- 使用軟毛牙刷,刷頭微斜45度靠近牙齦邊緣,輕輕前後震動。
- 重點是清除牙齦線與假牙邊界的牙菌斑,這是細菌最容易聚集的位置。
- 避免用力過大或橫刷,否則反而可能傷害牙齦組織。
植體周圍炎居家緊急處理方法二:使用牙線與牙間刷
- 植牙假牙(尤其是全瓷冠或All-on-4結構)與牙齦間會有細微縫隙。
- 每天至少一次使用牙線或牙間刷清除卡垢,可防止食物殘渣引起細菌滋生。
植體周圍炎居家緊急處理方法三:使用抗菌漱口水、沖牙機
- 選擇含氯己定(Chlorhexidine)或CPC成分的漱口水,有助抑制牙菌斑形成。
- 沖牙機能以水柱沖洗假牙與牙齦間縫隙,特別適合手部靈活度不佳者。
- 但要注意的是,漱口水與沖牙機只能輔助,不能取代刷牙與牙線。
植體周圍炎居家緊急處理方法四:冰敷與暫時性止痛處理
- 若牙齦腫脹或輕微疼痛,可用乾淨毛巾包冰塊,外敷臉頰10–15分鐘。
- 可服用醫師建議的止痛藥,但不可自行長期服藥或抹藥膏。
- 若出現膿包或臉部腫大,請立即就醫,代表感染已進入中度或重度階段。
植體周圍炎居家緊急處理方法五:戒掉高風險生活習慣
- 避免抽菸,因為尼古丁會抑制牙齦血流,降低免疫與修復能力。
- 不要嚼檳榔、吃高糖飲食,容易刺激牙齦、促進細菌繁殖。
- 不要熬夜,因為壓力大會讓免疫系統下降,讓植體更難恢復穩定。
植體周圍炎要怎麼治療?一定要手術嗎?
植體周圍炎並不一定都要手術治療!
治療方式主要取決於發炎的嚴重程度與齒槽骨發炎症狀的範圍。若只是輕度感染,通常透過專業清潔與殺菌即可改善;但若骨吸收嚴重、出現植牙植體搖晃或膿包,則可能需要手術清創或骨再生治療。總而言之,只要越早治療,就越有機會保住植體。
輕度植體周圍炎:非手術治療方式
如果你的植體周圍炎屬於輕度,那麼通常會採取非手術治療方式,這類治療重點在早期介入。若能及時清除感染源,齒槽骨仍有機會穩定下來。
- 專業清潔
使用特殊器械或超音波,清除植體表面與牙齦下方的牙菌斑與結石,減少細菌刺激。 - 局部抗菌治療
醫師可能會使用抗菌凝膠、藥膏或口服抗生素,協助控制感染。 - 牙周雷射治療
透過雷射能量殺菌並促進組織修復,適合炎症初期或骨吸收尚輕的患者。
中重度植體周圍炎:手術治療方式
可一旦你的植體周圍炎已經到了中重度的地步了,醫師通常會用手術的方式幫你治療。手術目的不只是消炎,而是重建穩定的植體環境,讓假牙能重新恢復功能與外觀。
- 翻瓣清創手術
醫師會翻開牙齦,徹底清除藏在植體表面或螺紋內的細菌與感染組織,讓牙齦重新貼合。 - 骨再生治療
若齒槽骨已被破壞,可利用人工骨粉與再生膜輔助重建骨結構,恢復植體的支撐力。 - 軟組織重建
對於牙齦萎縮或角化牙齦不足的情況,醫師會進行牙齦移植以增加保護層,減少再感染風險。
什麼時候醫師會建議移除植體?移除後多久能再植牙?
- 當植體出現明顯搖晃、齒槽骨吸收超過三分之一以上、或感染反覆發作、無法穩定控制時,醫師通常會建議移除植體,以避免感染擴散至鄰牙。
- 移除植體後需等待3–6個月,視骨質修復情況與感染控制狀況,來決定可否再次植牙。若你的骨量不足,醫師可能會先進行骨再生手術,再評估是否能重新植牙。
數據引用:
根據一項研究顯示,即使手術治療,僅約半數患者的植體周圍炎能達到穩定,其餘仍有高達四成以上可能惡化以至於需要移除植體。(數據來源:《植體周圍炎的手術治療》)
【林怡妏醫師觀點】植牙後就不會得牙周病?揭密「植體周圍炎」要怎麼治療!
- 植牙是假牙,難道還會發生牙周病嗎?
雖然植體本身是人工材質,但支撐植體的骨頭與牙周組織仍是自己的。若清潔不當,這些組織依然會發炎,這在醫學上稱為「植體周圍炎」。 - 哪些因素會導致植體周圍炎?
除了最直接的清潔不徹底外,長期抽菸、糖尿病,或是假牙設計不良導致死角難以清理,都是誘發發炎的高風險因子。 - 植體周圍炎有哪些預警症狀?
初期會出現牙齦紅腫、流血,若進入中後期,可能會有組織化膿、周圍骨頭被細菌吸收(吃掉)。當骨頭流失嚴重,植體就會開始鬆動,最嚴重的後果是整顆掉落。 - 植體發炎了該如何治療?
早期發炎可以透過深層清創、雷射殺菌與消炎來處理。若發炎持續,則需進行翻瓣手術做更深層的清創或補骨。一旦發炎過於嚴重,則必須移除植體並重新進行後續重建。 - 日常生活中如何預防植體周圍炎?
每天確實清潔是最重要的根基。若有抽菸習慣建議戒菸,因為尼古丁會直接影響植體的成功率與健康。此外,每3到6個月必須定期回診檢查,由醫師把關。
📍如何找尋可以治療植體周圍炎的牙醫師?
當你發現植牙區域出現紅腫、流血或膿包時,第一步不是自己觀察或上網買藥,而是要找到熟悉「植體周圍炎治療」的專業牙醫師。這類醫師通常具備牙周治療與植牙經驗,能判斷是單純牙齦發炎、齒槽骨吸收,還是植體需要清創處理。許多延誤病情的案例,往往是因為初期沒有找對醫師,導致炎症反覆、甚至需要拆除植體重做。
此時,小編推薦你使用牙醫小幫手預約平台,讓你快速找到適合的牙醫師,不用再打電話一間間詢問、不怕預約不到、也能參考其他病患的實際回饋,讓你的看診經驗更加安心有效率喔!
👇只需三步驟,線上預約超方便!
Google搜尋「牙醫」:第一個即可找到牙醫小幫手預約平台
搜尋您想看診的項目、地區和時間:有多位植牙相關牙醫師可以選擇,不怕沒時間
選擇評價良好且有空檔的牙醫師:有40萬則評價供參考,可篩選出擁有不同面向(看診態度、技術、診所環境、醫療團隊氣氛)好評的植牙醫師,例如「醫生細心,任何問題都可以放心詢問,超讚👍🏻」、「環境乾淨,設備新穎,醫師對兒童也很耐心。」、「技術超專業,護理師們也很細心。下次會定期來保養牙齒」等等。
送出線上預約:請準時前往喔!

怎麼避免植體周圍炎?術後保養4技巧
想要預防植牙後得到植體周圍炎,日常保養是關鍵的一環。以下是植牙後保養的四個技巧:
- 保持良好的口腔清潔習慣
定期刷牙、使用牙線、漱口,有效清除牙菌斑和食物殘渣,保持口腔清潔。 - 避免不良的咬合習慣
避免咬硬物、咬緊牙關等不良咬合習慣,以減少對植體周圍組織的損傷。 - 術後定期回診檢查和保養
術後要依照醫生的建議,除了良好的口腔清潔和護理,更重要的是按時回診追蹤檢查植體及周圍組織癒合狀況,才能保持植牙後的健康狀態。 - 戒菸與血糖控制
不管是在植牙的術前術後,戒掉菸癮與控制血糖都非常重要,如此一來可以降低植牙周圍軟組織的發炎機率和提高傷口癒合效果。
植體周圍炎常見問題
許多人在植牙多年後,出現紅腫、流血或牙齦異味時,常會懷疑是不是植體周圍炎,但又對病症不太了解。以下,小編整理出五個相關問題,幫助你更清楚了解植體周圍炎這個常見卻常被忽略的口腔問題。
Q1:植體周圍炎會自己好嗎?
不會。植體周圍炎與一般牙齦炎最大的不同在於,它牽涉到「齒槽骨發炎與吸收」。一旦細菌感染到骨頭,骨質會逐漸流失,這部分是無法靠自行刷牙或漱口水逆轉的。若只是輕微紅腫,醫師可透過專業清潔與抗菌處理穩定病情,但若放任不管,最終可能導致植體鬆脫。
Q2:植牙後牙齦長膿包是正常現象嗎?
不是。若你在植牙區發現牙齦上反覆長出白點或膿包,通常表示植體周圍已有細菌堆積、形成膿腫,應盡快就醫。部分患者誤以為只是火氣大或牙齦腫,延誤治療,往往造成更嚴重的齒槽骨發炎症狀。
Q3:植體會不會像真牙一樣搖晃?那是不是要拆掉?
健康的植體是不會搖動的。如果你感覺到假牙或整個植體在晃,原因可能是植體周圍的骨頭被感染破壞,或是假牙連接螺絲鬆脫。輕微者可重新鎖緊假牙,但若是骨支撐流失,就可能需要手術治療,甚至拆除植體後重建骨質再植牙。
Q4:我以前有牙周病,這會增加植體周圍炎的風險嗎?
會的。有牙周病病史的患者,罹患植體周圍炎的風險會比一般人還要來得高,這是因為兩者的致病菌群相似,而若口腔衛生維持不良,細菌很容易再次攻擊植體周邊組織。因此,有牙周病史的患者,在植牙後更需定期回診維護,這也是植牙牙周病控制的重要一環喔!
Q5:植體周圍炎會不會傳染?
理論上,植體周圍炎本身不是傳染病,但造成發炎的牙周病菌,確實可以透過共用餐具或親密接觸傳遞。若家人也有牙齦出血或口臭等症狀,建議一同接受牙周檢查與口腔衛教,避免口腔菌相惡化導致連鎖感染。
植體周圍炎別輕忽!守住植牙的關鍵在「提早發現、持續維護」
植體周圍炎並不是「植牙老化」的自然現象,而是一種可預防、可控制的感染性疾病。多數人在早期只感覺到輕微出血或異味,往往以為是刷太用力、火氣大,直到出現齒槽骨發炎症狀或感到植體搖晃時,才驚覺問題嚴重。此時,骨支撐已經受損,治療難度也會大幅上升。
想讓植牙陪你長久穩定地使用,最重要的是三件事:保持良好清潔習慣、定期牙周維護,以及一旦發現紅腫、膿包或疼痛,就要盡快尋求專業牙醫師的協助。早期介入治療不僅能避免骨吸收惡化,也能延長植體壽命,讓你的微笑更安心持久!

延伸閱讀:深入了解植牙治療全攻略
若您已初步了解植牙的基本概念,想進一步掌握從觀念建立、費用評估,到術後照護的完整知識,以下為您精選的【植牙系列導讀指南】,推薦依照三大步驟閱讀,幫助您在做植牙決定前後,做出更安心又周全的選擇!
步驟 1:建立植牙觀念,了解原理、流程與適應症
這是您做出是否植牙決定的第一步,建議從這三篇開始閱讀:
- 認識植牙:原理、步驟、優缺點、適合族群介紹
了解什麼是植牙、適合哪些患者,以及與其他假牙治療的比較。 - 害怕植牙會痛?這些術前評估一定要做!
術前有哪些檢查?如何降低植牙失敗風險?讓您放心決定。 - 缺牙做假牙還是植牙好?教你比較CP值
從功能、外觀、壽命、價格等角度,幫您選擇最適合的缺牙治療方式。
步驟 2:深入了解植牙費用與影響價格的因素
想知道「植牙費用一顆多少」?從這幾篇文章幫助您搞懂預算怎麼抓:
- 影響植牙費用的五大原因
品牌、技術、設備、補骨等因素一次看懂,讓您預算心中有數。 - 植體大揭密!五大植體品牌介紹懶人包
從歐洲到亞洲的主流植體品牌差在哪?品質與價格比較一覽表整理給你。 - 植牙保險有哪些類型?理賠三步驟與申請說明
健保不給付沒關係,教你怎麼透過商業保險減輕費用負擔。
步驟 3:術後照護與風險處理,延長植牙壽命
當您完成植牙後,正確照護是關鍵,這三篇是必讀的術後指南:
- 術後必看!植牙後飲食、傷口護理、植牙後禁忌
該吃什麼?不能做什麼?避免發炎或失敗,術後照顧全攻略。 - 植體周圍炎怎麼辦?一篇搞懂7大原因、8個症狀、治療與預防方式!
植體發炎是什麼?如何提早發現並避免植牙失敗。