🔥朱耕甫醫師的專業解答
牙縫變大不只是笑起來不好看,往往也暗示著口腔結構正在改變。常見原因包含牙周病造成的牙齦萎縮、長期缺牙導致牙齒位移,或牙縫蛀牙讓齒質逐漸流失,使縫隙越來越明顯。牙縫一旦變大,清潔難度提高,蛀牙與牙周問題也更容易反覆發生。是否能補牙、該不該矯正,以及補牙費用會差多少,都取決於牙縫變大的真正原因與牙齒本身的健康狀況。
【周霖晉醫師解析】矯正後出現牙縫黑三角怎麼辦?成因分析與三大解決方案全公開!
【張孟擇醫師解析】洗牙會讓牙縫變大嗎?揭開牙縫「黑三角」顯現的真相!
牙縫變大不處理會怎樣?不只影響美觀,還可能讓蛀牙與牙周問題更快惡化
- 樹脂補牙:適合輕微牙縫與小範圍缺損
- 瓷牙嵌體(Inlay / Onlay):缺損較大時的選擇
- 瓷牙貼片(Ceramic Veneers):在特定條件下可評估的牙縫修復選項
- 牙齒矯正:從根本調整牙齒位置
- 全瓷冠:結構脆弱或缺損嚴重時使用
牙縫變大是正常的嗎?哪些情況要先排除牙周病或缺牙問題?
牙縫變大不一定是正常老化,多數情況需要先確認是否存在牙周病或缺牙等結構性問題。臨床上,確實有人天生牙齒間隙較明顯,但如果近年才發現牙縫逐漸變大,往往與牙齦萎縮、齒槽骨流失或長期缺牙有關。而判斷關鍵不在「牙縫大不大」,而在於牙齦是否健康、牙齒是否穩定、是否合併出血或口臭,這些都是需要先排除的重點。
生理性牙縫與病理性牙縫的差別
- 生理性牙縫多為先天牙齒偏小、齒列比例差異,牙齦健康且無不適症狀。
- 病理性牙縫常伴隨牙齦萎縮、牙根外露或刷牙流血,屬於後天變化。
- 若牙縫在短時間內明顯變大,通常不屬於單純生理現象。
牙周病造成的牙縫變大警訊
- 牙周病(Periodontal disease)會破壞齒槽骨,使牙齦失去支撐而退縮。
- 牙齦高度下降後,牙齒間的「黑三角」視覺上會更加明顯。
- 常合併口臭、牙齒動搖、咀嚼無力等問題。
缺牙未補對牙縫的影響
- 長期缺牙會讓鄰牙往空缺處傾倒,間接拉大原本的牙縫。
- 牙齒位移後容易形成清潔死角,增加牙縫蛀牙風險。
- 拖延不處理,未來可能需先矯正才能進行植牙或補綴。
數據引用:
根據美國疾病控制與預防中心(CDC)一項調查指出,美國30歲以上成人約47.2%有牙周炎(periodontitis),而牙周炎常見表現之一就是牙齦萎縮、牙縫視覺變大。(數據來源:《美國2009-2010年30歲以上成年人牙周炎盛行率》)
牙縫變大原因有哪些?牙醫整理常見五大原因與對應處理方向
牙縫變大通常不是單一原因造成,而是結構、疾病與習慣交互影響的結果。在臨床評估時,牙醫通常會同時觀察牙齒形態、牙齦高度、咬合狀況與清潔習慣,才能判斷你的牙縫變大原因屬於哪一類型,進而為你規劃後續的治療方式,這也是「牙縫變大如何補救」前最重要的一步!
原因一:先天牙齒形態或比例問題

釘狀齒讓牙縫變大(圖片來源:Peg Lateral Incisors)
- 牙齒天生偏小、釘狀齒或先天缺牙,容易留下較大的牙縫。
- 齒槽骨相對較寬時,牙齒排列再整齊也可能有間隙。
- 此類型多為外觀困擾,需評估是否進行美觀修復。
原因二:牙齦萎縮與牙周病
- 牙周病造成齒槽骨流失,牙齦高度下降,牙縫視覺放大。
- 常伴隨刷牙流血、口臭與牙齒敏感。
- 必須先治療牙周病,否則任何補牙都容易失敗。
原因三:長期缺牙未補
- 缺牙後鄰牙傾倒,改變原有齒列間距。
- 容易形成牙縫蛀牙與反覆卡菜渣問題。
- 治療上可能需合併矯正與補綴。
原因四:唇繫帶或舌頭推力影響

上唇繫帶附著過低,把門牙往兩側拉開導致牙縫變大(圖片來源:Abnormal Frenum Attachments In Children)
- 上唇繫帶附著過低,會把門牙往兩側拉開。
- 吐舌習慣或舌頭推力過大,長期會撐開牙縫。
- 若未處理根本原因,關縫後仍可能復發。
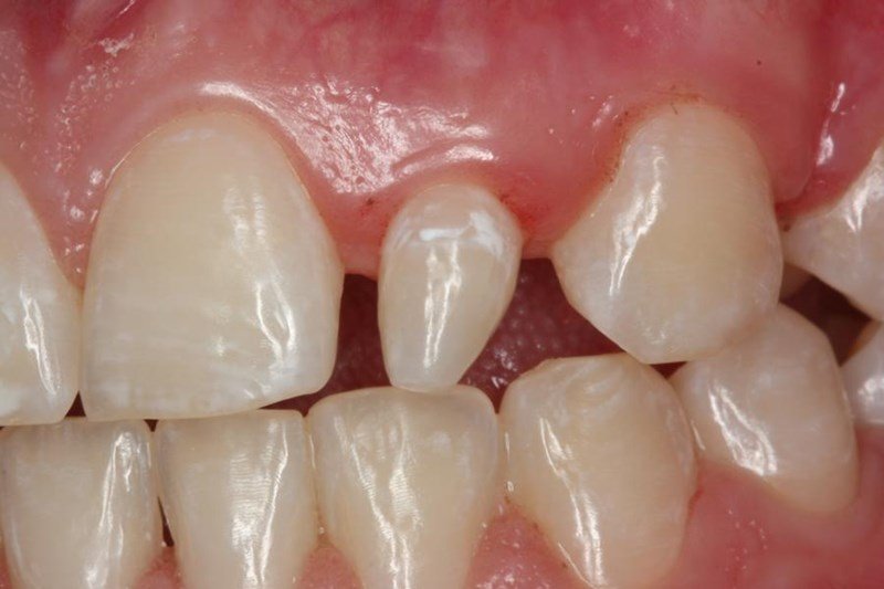
原因五:矯正後出現黑三角

牙齒跟牙齒之間的黑色三角縫隙(圖片來源:Black triangle)
- 原本牙齒擁擠導致牙齦萎縮,矯正後間隙顯現。
- 牙齒形狀偏三角形時更明顯。
- 需評估是否以補牙或其他方式改善外觀。

牙縫變大的5個常見原因
【周霖晉醫師解析】矯正後出現牙縫黑三角怎麼辦?成因分析與三大解決方案全公開!
- 為什麼矯正牙齒後會出現「黑三角」?是牙縫變大了嗎?
「黑三角」是矯正中常見的副作用。當牙齒原本重疊時,牙肉是被擠上去的,給人沒有縫隙的假象;一旦牙齒排整齊,牙肉會跟著骨頭的高度生長,加上牙齒形狀通常是「頭大身小」,接觸點下方的三角形空隙(黑三角)就會顯現出來。 - 如何透過「牙齒修磨(IPR)」來改善黑三角?會不會傷牙齒?
醫師會利用特殊機械將牙齒上方的接觸點稍微磨開,再將牙齒往中間關閉,使下方的三角形縫隙縮小。牙齒的琺瑯質厚度約有1.5到2.5mm,而修磨通常限制在0.5mm以內,在安全限度內並不會導致牙齒痠軟,同時還能提供排列空間。 - 除了修磨牙齒,還有哪些方式可以填補黑三角?
如果修磨後仍有縫隙,可以選擇「樹脂補牙」,在牙縫左右兩側補上形狀填補空隙,但長期使用較易變色或脫落。另一種更穩定的選擇是「陶瓷貼片」,不僅不會變色,也較無脫落問題,但費用相對較高。
洗牙或用牙線會讓牙縫變大嗎?破解最常見迷思與正確清潔方式
洗牙與正確使用牙線不會讓牙縫變大,真正的原因是原本被牙結石與牙菌斑「撐住」的空間被清乾淨後,牙縫回到原本狀態。這是許多人洗牙後所擁有的疑惑,發現之前不明顯的牙縫「突然出現」,誤以為是洗牙造成,但這其實反映出口腔過去長期清潔不良的狀況。
為什麼洗牙後牙縫看起來變大?
- 牙結石長期堆積在牙縫與牙齦邊緣,會暫時填滿縫隙。
- 洗牙只是把不該存在的結石清除,並非把牙齒「磨開」。
- 若本身已有牙齦萎縮,洗牙後牙縫視覺感會更明顯。
使用牙線真的會把牙縫撐大嗎?
- 正確使用牙線是「貼著牙面刮除牙菌斑」,不是左右拉扯。
- 過度用力或錯誤橫向拉扯,才可能刺激牙齦造成不適。
- 長期不用牙線,反而更容易因牙菌斑累積導致牙縫變大。
牙線、牙線棒、牙間刷該怎麼選?
- 一般牙縫偏緊者,建議使用傳統牙線。
- 牙線棒較粗硬,不適合天天用在正常牙縫。
- 牙間刷適合已經有牙縫或牙周病患者,需由牙醫師評估尺寸。
【張孟擇醫師解析】洗牙會讓牙縫變大嗎?揭開牙縫「黑三角」顯現的真相!
- 為什麼洗完牙後,會覺得牙齒之間的縫隙變大了?
這並非牙縫真的變大,而是原本的縫隙都被髒污的「牙結石」填滿了。當醫師透過洗牙將牙結石清除乾淨後,原本被遮蓋住、類似三角形的縫隙就會顯露出來。 - 牙縫變大是醫師洗牙技術不好造成的嗎?
不是。洗牙是移除堆積在牙齒表面的牙結石,並不會傷害牙齒本身或造成牙縫增寬。牙縫的出現是因為牙結石被清掉後,恢復了牙齒原本的空間。 - 洗牙後看到的「三角形縫隙」是什麼?
那是牙齒間原本就存在的空間。當長期累積的牙結石被洗掉後,這些原本被填滿的地方會空出來,視覺上就會看到明顯的牙縫。
牙縫蛀牙怎麼辦?牙縫變大為什麼更容易蛀牙與卡菜渣?
牙縫變大會顯著提高牙縫蛀牙的風險,因為清潔難度增加,食物殘渣與細菌更容易長時間停留。也就是說,牙縫蛀牙往往不是突然發生,而是牙縫變大、清潔死角形成後,長期累積的結果!
牙縫變大為什麼特別容易蛀牙?
- 牙縫是牙刷最難深入的位置,清潔效率本就較低。
- 牙縫變大後,更容易卡菜渣與澱粉類食物。
- 細菌在牙縫中代謝糖分,產生酸性環境侵蝕牙齒。
牙縫蛀牙常見的早期症狀
- 吃甜或冷熱食物時出現短暫酸感。
- 牙縫常卡食物,伴隨異味或口臭。
- 刷牙或使用牙線時局部容易流血。
牙縫蛀牙一定要補牙嗎?
- 初期脫鈣可透過加強清潔與氟化物控制。
- 形成蛀洞後,通常需要補牙或瓷牙嵌體修復。
- 若拖延不處理,蛀牙會向內擴大,增加補牙費用。
數據引用:
根據一篇醫學期刊的研究顯示,牙面蛀牙分布除了臼齒外,多數牙齒的鄰接面(approximal surfaces,也就是牙縫接觸面)是蛀牙率最高的區域,約落在58.5%–77.5%,凸顯牙縫是高風險蛀牙區。(數據來源:《大學診所患者牙齒各表面齲齒盛行率及其依年齡和性別分佈》)
牙縫變大不處理會怎樣?不只影響美觀,還可能讓蛀牙與牙周問題更快惡化
牙縫變大若長期不處理,影響的不只是外觀,還會加速蛀牙與牙周病的惡性循環。如果一開始你只在意笑起來不好看,卻忽略背後的健康風險,等到出現牙痛或牙齒動搖時,治療難度與費用便可能會大幅提升。
牙縫變大帶來的健康風險
- 清潔死角增加,牙菌斑與牙結石更容易堆積。
- 牙縫蛀牙發生率上升,補牙範圍也會越來越大。
- 牙齦長期發炎,可能進一步演變成牙周病。
為什麼問題會越拖越嚴重?
- 牙周組織一旦被破壞,難以完全恢復原狀。
- 牙齒位移後,原本的小牙縫可能持續擴大。
- 延後治療,往往需要多項療程才能補救。
對未來治療與費用的影響
- 小範圍補牙可能變成嵌體或全瓷冠修復。
- 補牙費用隨缺損大小與複雜度增加。
- 嚴重時可能需合併牙周治療或矯正。
牙縫變大如何補救?補牙、嵌體、貼片、矯正、全瓷冠怎麼選?
牙縫大不一定都「只能矯正」,在牙齦與牙周狀況穩定的前提下,確實有多種方式可以補救。但在選擇補救方式前,必須先釐清牙縫變大的原因、缺損大小、牙齒結構是否健康,這些條件會直接影響適合的治療選項。
樹脂補牙:適合輕微牙縫與小範圍缺損
- 常用於牙縫蛀牙或小範圍牙縫變大的情況。
- 可直接在診間完成,修磨量相對少。
- 耐用度與抗染色性較瓷材低,需定期追蹤。
瓷牙嵌體(Inlay / Onlay):缺損較大時的選擇
- 適合牙縫變大合併較深層蛀牙的患者。
- 由技工室製作,密合度與耐用性較高。
- 治療時間較補牙長,費用也相對較高。
瓷牙貼片(Ceramic Veneers):在特定條件下可評估的牙縫修復選項
- 適合牙齦健康、牙齒結構完整,且牙縫主要影響外觀的情況。
- 透過調整牙齒外型比例,讓牙縫在視覺上被關閉或弱化。
- 並非所有牙縫變大都適合貼片,若牙縫來自牙周病或缺牙,應優先治療病因。
牙齒矯正:從根本調整牙齒位置
- 適合因齒列不正、缺牙傾倒造成的牙縫變大。
- 可同時改善咬合與清潔困難問題。
- 療程時間較長,需要良好配合度。
全瓷冠:結構脆弱或缺損嚴重時使用
- 適用於牙齒本身已有大範圍缺損或裂痕。
- 能完整包覆牙齒,提供良好保護。
- 需修磨較多齒質,通常不是第一順位選擇。
| 比較項目 | 補牙(樹脂) | 嵌體(瓷牙嵌體) | 貼片(瓷牙貼片) | 牙齒矯正 | 全瓷冠 |
|---|---|---|---|---|---|
| 適用情況 | 輕微牙縫、牙縫蛀牙 | 牙縫合併較大蛀牙缺損 | 牙齦健康、以外觀改善為主 | 牙齒排列不正、缺牙傾倒 | 結構脆弱、缺損嚴重 |
| 是否修磨牙齒 | 極少 | 中等 | 少量 | 幾乎不需 | 較多 |
| 改善方式 | 填補牙縫與缺損 | 重建牙齒缺損形態 | 調整牙齒外型比例 | 移動牙齒關閉牙縫 | 全面包覆保護牙齒 |
| 耐用度 | 中等 | 高 | 高 | 高(需維持器) | 高 |

牙縫變大的5個常見補救方式
【林禹書醫師解析】樹脂貼片比較便宜?揭密 3 大風險:染色、發臭、壽命短!
為什麼愛喝咖啡或茶的人不建議做樹脂貼片?
因為樹脂貼片的物理特性是孔洞與縫隙較大,若平時喜愛喝咖啡、喝茶或吃甜食,色素極易滲入並沾染在貼片上。
樹脂貼片為什麼會產生異味(口臭)?
材質本身的孔洞與縫隙容易堆積細菌與食物殘渣,長時間下來會導致整個樹脂貼片發臭,影響社交觀感。
樹脂貼片的平均壽命大約多久?
樹脂貼片的耐用度較低,通常使用不到 3 年 就可能出現缺角、破損,或是顏色變得不自然。
如何判斷樹脂貼片的品質是否已經變差?
醫師指出,劣質或老化的樹脂貼片顏色會呈現死白,視覺上看起來像「沒爆開的爆米花顏色」,且邊緣容易沾黏牙垢,美觀度大打折扣。
補牙費用怎麼算?牙縫變大補牙、嵌體價格會受哪些因素影響?
補牙費用沒有固定價格,會隨牙縫變大的原因、缺損範圍與使用材料而有明顯差異。很多人不知道,費用其實反映的是治療難度、耐用性與長期穩定度,而不只是「補一個洞」這麼簡單喲!
缺損大小與位置是費用關鍵
- 牙縫蛀牙範圍越大,修復複雜度越高。
- 前牙因美觀要求高,治療時間與技術需求較多。
- 深層蛀牙可能需額外處理牙髓或牙周。
補牙材料不同,費用差異明顯
- 樹脂補牙費用較低,但耐用度有限。
- 瓷牙嵌體與全瓷冠費用較高,壽命與密合度佳。
- 材料選擇需考量使用年限與清潔習慣。
是否合併其他治療也會影響補牙費用
- 若需先治療牙周病,費用會分階段計算。
- 缺牙造成牙縫變大,可能需搭配矯正或補綴。
- 延後處理,往往讓原本單純的補牙變成多項療程。
📍如何尋找能夠幫助你解決牙縫變大問題的專業牙醫師?
當你發現牙縫變大、反覆卡菜渣,甚至開始出現刷牙流血或異味時,第一步不是急著補牙或自行判斷原因,而是要找到熟悉「牙縫變大評估與治療」的專業牙醫師。這類牙醫師通常具備牙周治療、補綴與咬合評估的臨床經驗,能判斷牙縫變大究竟是牙周病、缺牙位移、牙縫蛀牙,還是單純的外觀問題。許多治療反覆或補了又壞的案例,往往是因為一開始沒有找對醫師,只處理表面牙縫,卻忽略了真正的病因。
此時,小編推薦你使用牙醫小幫手預約平台,讓你快速找到適合的牙醫師,不用再打電話一間間詢問、不怕預約不到、也能參考其他病患的實際回饋,讓你的看診經驗更加安心有效率喔!
👇只需三步驟,線上預約超方便!
Google搜尋「牙醫」:第一個即可找到牙醫小幫手預約平台
搜尋您想看診的項目、地區和時間:有多位可治療牙縫變大相關問題的牙醫師可以選擇,不怕沒時間
選擇評價良好且有空檔的牙醫師:有40萬則評價供參考,可篩選出擁有不同面向(看診態度、技術、診所環境、醫療團隊氣氛)好評的專業醫師,例如「醫生細心,任何問題都可以放心詢問,超讚👍🏻」、「舒適的看診經驗破除恐懼感」、「技術超專業,護理師們也很細心。下次會定期來保養牙齒」等等。
送出線上預約:請準時前往喔!

牙縫變大常見問題
以下是五個和牙縫變大相關的常見問題,希望這些問答能幫助你徹底釐清相關疑惑。
Q1:牙縫變大是不是一定代表得了牙周病?
不一定,但牙周病確實是牙縫變大最常見、也最需要優先排除的原因之一。臨床上,有些人是先天牙齒比例較小,牙齦與齒槽骨健康,牙縫長期穩定,這類情況多屬生理性牙縫;但如果牙縫是在短時間內逐漸變大,合併刷牙流血、口臭或牙齒變長,就必須高度懷疑牙周病,建議及早檢查以免惡化。
Q2:牙縫變大為什麼特別容易出現牙縫蛀牙?
因為牙縫本來就是牙刷最難清潔的區域,當牙縫變大後,清潔死角只會更多。食物殘渣容易卡在牙縫中,牙菌斑長時間堆積,細菌分解糖分產生酸性環境,就會從牙縫側面侵蝕牙齒,形成牙縫蛀牙。這類蛀牙初期症狀不明顯,常被忽略,一旦發現時往往已需要補牙或嵌體修復。
Q3:牙縫變大如何補救?是不是越早處理越好?
是的,關於牙縫變大如何補救,關鍵就在於「原因釐清得夠不夠早」。若是牙周病或缺牙造成,必須先處理疾病本身;若牙齦與牙齒結構健康,則可評估補牙、嵌體、矯正或其他修復方式。越早介入,治療選項通常越單純,費用與療程也相對可控,拖延反而容易讓小問題演變成複雜治療。
Q4:牙縫大可以補嗎?補牙後會不會很快又壞掉?
牙縫大可以補嗎?答案是「可以,但有條件」。若牙縫來自蛀牙或小範圍缺損,補牙確實能改善;但如果牙縫是因牙周病、缺牙或牙齒位移造成,只補牙而不處理根本原因,失敗率就會提高。補牙能否耐用,與牙周健康、清潔習慣與醫師評估密切相關,並非單看材料本身。
Q5:補牙費用差很多正常嗎?為什麼有人補一次就好,有人卻越補越貴?
補牙費用差異大其實很常見,因為費用反映的是缺損大小、治療複雜度與是否合併其他問題。牙縫蛀牙若在早期處理,可能只需單純補牙;但若拖延導致缺損擴大,可能改用嵌體、全瓷冠,甚至需先治療牙周病,整體補牙費用自然增加。這也是牙醫師反覆強調「早期評估」的重要原因。
牙縫變大別只看表面,找對原因才能真正解決
牙縫變大看似只是外觀上的小變化,實際上卻常與牙周健康、清潔困難甚至牙縫蛀牙風險密切相關。真正重要的不是急著把縫隙補起來,而是先釐清牙縫變大的成因,評估是否存在牙周病、缺牙或齒列問題,再選擇合適的補救方式。及早處理,不僅能降低補牙費用與治療複雜度,也更有機會在美觀與口腔健康之間取得長期穩定的平衡喔!

牙縫變大怎麼辦?原因、風險與補救重點一次看懂
延伸閱讀:深入了解牙齒美白相關知識
牙齒黃的成因與改善方式不只一種,從生活習慣調整、不同牙齒美白療程,到貼片與修復型治療,各有適合的對象與限制。為了幫助您更全面理解牙齒美白,牙醫小幫手將相關文章整理為四大類,從基礎觀念建立、牙齒美白療程選擇,到特殊狀況處理與居家保養,協助您依照自身需求做出合適判斷。
【了解牙齒黃與美白的基礎觀念】
- 牙齒黃怎麼改善?成因、5大治療方法、保養要點一次看!
從牙齒結構、外因染色到內因變色,完整解析牙齒黃的成因,並整理常見治療方式與日常保養重點,適合第一次想了解牙齒黃改善方向的讀者。 - 牙齒變黃怎麼辦?牙齒黃的原因?教你這3個小動作,改善牙齒黃垢!
聚焦生活中最常造成牙齒黃的原因,並提供簡單可執行的改善技巧,幫助降低牙齒黃累積的速度。
【選擇適合的牙齒美白療程】
- 牙齒美白費用與療程總整理:效果、價格、保養全解析
一次比較多種牙齒美白方式的效果、價格與維持時間,讓想改善牙齒黃的讀者,能在預算與期待之間做出平衡選擇。 - 噴砂美白是什麼?費用、療程、時間、優缺點全介紹
深入介紹噴砂美白的原理與適合族群,特別適合因咖啡、茶垢造成牙齒黃的人參考。 - 冷光美白價格多少?美白原理、適用對象一次搞懂!
說明冷光美白如何快速改善牙齒黃,以及哪些人適合、哪些情況需要特別注意,避免追求快速變白卻忽略風險。 - 「居家美白」熱潮你跟上了嗎?一次了解低價美白牙齒的居家美白方式
完整解析居家美白的操作方式、優缺點與注意事項,適合想在家改善牙齒黃、又擔心敏感問題的族群。
【修復型美白與貼片相關治療】
- 牙齒美白貼片值得嗎?貼片種類、優缺點、價格全解析!
針對天生齒色偏黃或美白效果有限者,深入說明牙齒貼片的適用情境與限制,協助評估是否適合選擇貼片治療。 - 什麼是牙齒貼片?陶瓷貼片跟全瓷冠有什麼不一樣呢?
比較陶瓷貼片與全瓷冠的差異,幫助讀者理解不同修復方式在改善牙齒黃上的角色與影響。
【牙齒外觀與特殊狀況一併處理】
- 牙縫變大怎麼辦?專業牙醫解析常見原因、蛀牙風險與補牙費用
說明牙縫過大與牙齒外觀、自信之間的關聯,並介紹常見治療方式,適合在改善牙齒黃的同時,也在意整體美觀的人參考。