🔥 朱耕甫醫師的專業解答
敏感性牙齒多半與琺瑯質磨耗、牙齦萎縮、磨牙或飲食習慣有關,症狀常表現為短暫卻明顯的酸痛不適。部分情況可先透過使用抗敏感牙膏、調整刷牙方式、避免酸性刺激來暫時舒緩,但若忽視真正原因,敏感往往反覆發作,甚至合併蛀牙或裂齒問題。了解原因、症狀與治療方式,才能真正擺脫敏感性牙齒困擾。
敏感性牙齒是什麼?「牙本質知覺過敏」為什麼會痛?
敏感性牙齒在醫學上常稱為「牙本質知覺過敏(Dentin hypersensitivity)」,意思是牙齒外層保護變薄或牙齦退縮後,讓牙本質暴露,冷、熱、酸、甜或刷牙的刺激更容易傳到神經,出現短暫、尖銳的刺痛感,這就是典型的敏感性牙齒症狀。
敏感性牙齒的「痛」是怎麼傳進去的?
- 琺瑯質(Enamel,牙齒外層硬殼)變薄或破損時,保護力下降。
- 牙本質(Dentin,內層較軟)有許多牙本質小管(Dentinal tubules,小通道)。
- 刺激引發牙本質小管內液體流動,牽動神經末梢產生痛感。
- 疼痛多為「刺激來就痛、刺激走就停」,通常不會痛很久
敏感性牙齒症狀有哪些?和一般牙痛差在哪?
- 冷、熱、酸、甜或冷空氣一碰就刺痛,持續幾秒到十幾秒最常見
- 刷牙、牙線碰到特定位置會酸軟或抽痛
- 常見是多顆牙的齒頸部位不舒服,但也可能只有一顆特別敏感
- 若出現自發痛、夜間痛、痛很久不緩解,較不像單純敏感性牙齒
敏感性牙齒會自己好嗎?哪些狀況可能短暫好轉,哪些不會
相信你一定很想知道「敏感性牙齒會自己好嗎」?小編告訴你:有些會短暫好轉,但多數不會自己痊癒。如果是治療後的短期敏感,通常在幾週內會下降;但若是琺瑯質磨耗或牙齦萎縮造成牙本質長期暴露,結構性改變無法自然長回去,拖著不處理反而可能讓敏感性牙齒越來越嚴重,甚至掩蓋了蛀牙或裂齒等其他牙齒問題。
可能會短暫好轉的情況(多為暫時性刺激)
- 洗牙、牙周刮除、補牙後短期敏感,刺激降低後會逐步緩解。
- 近期酸性飲食偏多、刷牙太用力導致短期不適,調整後可能改善。
- 新開始使用美白產品造成刺激,停用並修復保護後可能回穩。
通常不會自己好的情況(多為結構或疾病造成)

琺瑯質變薄,牙齒下緣呈現微透明(圖片來源:Thinning Enamel? How to Spot Enamel Loss & Damage )
- 長期刷牙太大力、磨牙導致琺瑯質變薄,敏感性牙齒多久會好往往取決於是否介入治療。

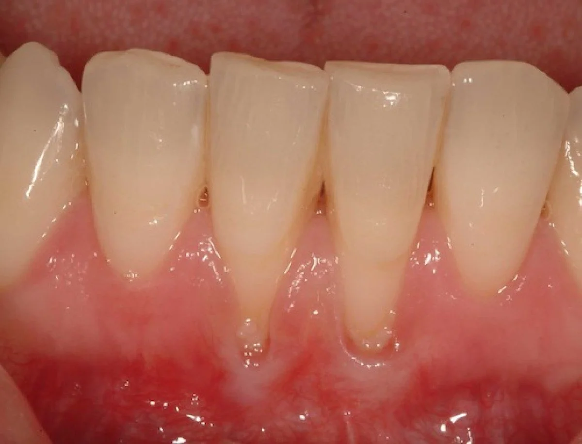
牙齦萎縮使牙根暴露,可能導致敏感性牙齒(圖片來源:Understanding Tooth Recession: Causes, Prevention, and Treatment Options)
- 牙齦萎縮讓牙根暴露,常需要牙周評估與保護處置。

裂齒為敏感性牙齒原因之一(圖片來源:What Is A Cracked Tooth?)
- 蛀牙、裂齒、補綴物滲漏造成的敏感,必須找出病因處理。
這些狀況請直接就醫,不要只靠止痛或抗敏感牙膏撐著
- 痛超過幾十秒仍不緩解,或出現自發痛、夜間痛。
- 只有「單顆牙」突然變得很敏感,且越來越明顯。
- 伴隨咬合痛、牙齦腫脹流血、口臭加重或疑似裂痕。
資料引用:
根據一系統性文獻回顧顯示,牙周治療或洗牙後產生的牙根敏感,多屬暫時性現象,隨時間可逐漸改善;但若敏感性牙齒源自牙齦萎縮或琺瑯質磨耗,牙本質長期暴露通常不會自行痊癒。(資料來源:《牙周治療後牙根敏感的發生率:系統性文獻回顧》)
敏感性牙齒原因有哪些?從生活習慣到口腔疾病一次盤點
敏感性牙齒原因並不單一,本質上都是因為牙齒保護層受損,導致牙本質暴露,讓外界刺激更容易傳導到神經,因此出現冷、熱、酸、甜就痛的敏感性牙齒症狀。以下,小編整理了最常見的 10大原因,讓你一次釐清:
10個常見的敏感性牙齒原因
- 刷牙力道過大或方式錯誤:長期橫刷、用力刷,磨損牙齒(尤其是靠近牙齦的「齒頸部」)。
- 使用硬毛牙刷或高研磨牙膏:加速琺瑯質磨損。
- 蛀牙:齒質被破壞,刺激更容易傳入。
- 牙齦萎縮:牙根暴露後,因缺乏琺瑯質保護而特別敏感。
- 牙周病:破壞牙齦與牙周支持組織。
- 酸性食物與飲料:酸蝕會慢慢侵蝕琺瑯質。
- 有磨牙或咬緊牙關的習慣:造成牙齒過度磨耗甚至微裂。
- 過度牙齒美白:美白藥劑刺激牙本質小管。
- 裂齒或補綴物滲漏:如果你有單顆牙突然敏感,就要特別注意牙齒是否有裂縫,或是補綴物滲出來了。
- 牙科治療後短期反應:如洗牙、補牙、牙周治療後的暫時敏感。

常見的敏感性牙齒原因
【陳柏錡醫師觀點】牙齒變敏感不只是表面問題?小心背後隱藏的牙周病危機
- 吃到冰熱食物牙齒就酸軟,這代表什麼?
雖然這可能是單純的敏感性牙齒,但陳醫師指出,牙周病初期的典型症狀包括牙齦發炎、流血及牙齒敏感,不應忽視。 - 長期忽視牙齦發炎與出血會有什麼後果?
若牙周病初期症狀長期被忽視,病情可能會迅速惡化,導致牙周組織嚴重破壞,治療難度與成本也隨之增加。 - 水雷射治療與傳統手術有何不同?
水雷射治療具有顯著優點:疼痛感低、傷口小且出血少,能大幅提升病人在治療過程中的舒適度。 - 水雷射牙周治療後的恢復期大約多久?
陳醫師表示水雷射的修復期極短,通常一個禮拜後即可正常進食,且不會有顯著的不適感。
敏感性牙齒應急舒緩怎麼做?重點在於降低刺激
敏感性牙齒止痛的關鍵,在於「先降低刺激、暫時封閉牙本質小管」,讓神經不要一直被觸發。下面是幾個應急舒緩方式,幫助你在就醫前,至少能正常吃飯、喝水不再害怕。
敏感性牙齒止痛的即時做法
- 改用抗敏感牙膏:這類牙膏通常含有硝酸鉀(Potassium nitrate)或精胺酸(Arginine),早晚使用能暫時應急。
- 牙膏局部塗抹法:在敏感處薄塗、停留約2分鐘再輕刷。
- 避免極端溫度刺激:先暫停攝取冰水、熱湯。
- 遠離酸性與過甜食物:降低牙本質刺激。
- 吃完酸性食物先漱口:等待約20分鐘再刷牙。
- 使用軟毛牙刷輕刷:避免再度磨耗琺瑯質。
- 避免頻繁更換美白產品:減少化學刺激。
哪些方式只能暫時舒緩,不能當長期療方?
- 只靠止痛藥,卻沒有找出敏感性牙齒原因。
- 長期忍痛,誤以為敏感性牙齒多久會好就會自己消失。
- 痛感反覆卻未檢查是否合併蛀牙或裂齒。
資料引用:
臨床研究顯示,含硝酸鉀、精胺酸等成分的抗敏感牙膏,可透過抑制神經反應或封閉牙本質小管,達到短期降低敏感性牙齒疼痛的效果,但僅屬於症狀控制,而非治療。(資料來源:《用於治療牙本質敏感的含鉀牙膏》)
敏感性牙齒怎麼治療?6種治療方式與適合對象一次看懂
敏感性牙齒要如何治療,關鍵不在「選最貴的」,而是依照造成敏感性牙齒原因與嚴重程度對症處理。從輕度保護到進階治療,只要選對方式,多數敏感性牙齒症狀都能明顯改善,甚至穩定控制。
常見的6種敏感性牙齒治療方式
- 塗氟與脫敏劑
適合輕度敏感性牙齒,透過封閉牙本質小管,降低神經刺激,是常見的第一線治療。 - 抗敏感藥劑封閉治療
針對局部齒頸敏感,加強阻斷刺激傳導,常搭配居家抗敏感牙膏使用。 - 樹脂填補
若有刷耗、齒頸缺損,利用樹脂覆蓋牙本質,屬於結構性修復,止痛效果明顯。 - 裝上咬合板
適合有磨牙或咬緊牙關習慣者,避免持續磨耗導致敏感性牙齒反覆發作。 - 雷射脫敏治療
透過特定能量封閉牙本質小管,對中度以上敏感性牙齒止痛效果快,但仍需牙醫評估適應症。 - 牙周治療或牙齦移植手術
若敏感性牙齒原因來自牙齦萎縮、牙根暴露,需從牙周組織修復著手,才能長期改善。

常見的敏感性牙齒治療方法
什麼情況可能需要更進階治療?
- 敏感性牙齒止痛效果短暫,反覆發作。
- 只有單顆牙敏感,且疼痛型態改變。
- 合併蛀牙、裂齒或疑似牙髓問題,可能需進一步治療。
【李世玄醫師解析】喝完檸檬水牙齒又酸又軟?做好這兩招預防敏感性牙齒發生
- 為什麼頻繁飲用酸性飲料會導致牙齒敏感?
長時間飲用咖啡、檸檬汁或檸檬水等酸性飲料,會導致牙齒表面變得脆弱,使內層的牙本質暴露出來,進而誘發敏感性牙齒。 - 日常生活中如何透過飲食控制來預防敏感?
建議首要任務是進行飲食控制,盡量減少攝取偏酸性的果汁或食物,從源頭保護牙釉質。 - 使用抗敏感牙膏時,有什麼能提升效果的小撇步?
可以將抗敏感牙膏直接塗抹在敏感的特定區塊,靜置約三到五分鐘後再進行正常刷牙,能更有效地達到舒緩效果。 - 吃完酸性食物後可以馬上刷牙嗎?
不可以!吃完酸性食物後應間隔半小時以上再刷牙,以避免造成琺瑯質流失與磨損,預防敏感性牙齒產生。
敏感性牙齒迷思破解,快速釐清你的疑惑!
關於敏感性牙齒,臨床上最常見的問題不是「痛不痛」,而是「到底這樣正不正常?要不要治療?」以下以牙醫師的專業角度,直接破解幾個最容易誤判、延誤處理的敏感性牙齒迷思,幫助你做出正確判斷:
常見的5個敏感性牙齒迷思,一次破解
- 迷思一:敏感性牙齒會自己好嗎?
多數情況不會。除非是洗牙、補牙後的短期刺激,否則結構性磨耗與牙齦萎縮不會自然修復。 - 迷思二:只有吃冰才會痛,忍一下就好?
這正是典型敏感性牙齒症狀,但長期忽視可能掩蓋蛀牙或裂齒問題。 - 迷思三:用抗敏感牙膏就等於治療完成?
抗敏感牙膏的用處在於止痛與保護,但並非所有敏感性牙齒原因都能單靠它解決。 - 迷思四:敏感性牙齒一定是刷牙刷太大力?
這只是原因之一,牙周病、酸蝕、磨牙、美白過度都可能是關鍵因素。 - 迷思五:不痛就代表已經好了?
痛感減少不等於敏感性牙齒消失了,有些病灶只是暫時被「封住感覺」,可是問題依然存在。 - 迷思六:牙齒敏感不能洗牙?
很多人認為洗牙會傷害到牙齒的珐瑯質,所以牙齒敏感者無法洗牙。但是恰恰相反的是,洗牙不但不會傷害牙齒,反而能改善牙根部敏感的情形哦!
📍如何尋找能夠治療敏感性牙齒的專業牙醫師?
當你發現牙齒一碰冷、熱、酸、甜就刺痛,甚至刷牙、喝水都不舒服時,第一步不是只靠止痛或一直更換抗敏感牙膏,而是要找到熟悉「敏感性牙齒治療」的專業牙醫師。這類牙醫師能從刷耗、牙齦萎縮、咬合問題到蛀牙或裂齒,判斷真正的敏感性牙齒原因,分辨是短期刺激還是需要進一步治療的結構性問題。許多敏感性牙齒反覆發作、越拖越嚴重的案例,往往是因為初期沒有找對醫師,只做暫時止痛,反而錯過最佳治療時機。
此時,小編推薦你使用牙醫小幫手預約平台,讓你快速找到適合的牙醫師,不用再打電話一間間詢問、不怕預約不到、也能參考其他病患的實際回饋,讓你的看診經驗更加安心有效率喔!
👇只需三步驟,線上預約超方便!
Google搜尋「牙醫」:第一個即可找到牙醫小幫手預約平台
搜尋您想看診的項目、地區和時間:有多位能治療敏感性牙齒的相關牙醫師可以選擇,不怕沒時間
選擇評價良好且有空檔的牙醫師:有40萬則評價供參考,可篩選出擁有不同面向(看診態度、技術、診所環境、醫療團隊氣氛)好評且能治療敏感性牙齒的專業醫師,例如「醫生細心,任何問題都可以放心詢問,超讚👍🏻」、「舒適的看診經驗破除恐懼感」、「技術超專業,護理師們也很細心。下次會定期來保養牙齒」等等。
送出線上預約:請準時前往喔!

敏感性牙齒常見問題
你是否正疑惑「敏感性牙齒會自己好嗎」、「敏感性牙齒多久會好」、「什麼情況下,敏感性牙齒一定要看牙醫」等問題?以下,小編幫你彙整了5個常見的敏感性牙齒相關疑問,幫助你一次搞懂敏感性牙齒,並清楚什麼時候可以觀察、什麼情況該就醫。
Q1:敏感性牙齒會自己好嗎?是不是忍一忍就過去了?
從牙醫師的臨床經驗來看,答案多半是否定的。除非是洗牙、補牙後出現的短暫刺激,否則大多數敏感性牙齒原因,如琺瑯質磨耗或牙齦萎縮,都是結構性改變,不會自然修復。如果只是忍著不處理,敏感性牙齒症狀可能反覆出現,甚至掩蓋蛀牙或裂齒等問題,反而延誤治療時機。
Q2:敏感性牙齒多久會好?有沒有一個大概的時間?
敏感性牙齒多久會好,其實取決於「原因」與「處理方式」。若是牙科治療後的短期敏感,通常2~4週內會逐漸改善;但若是長期刷太大力、磨牙或牙齦萎縮造成,單靠時間幾乎不會自己好。這類情況需要透過正確清潔習慣或是專業醫師治療,才能真正縮短不適時間。
Q3:敏感性牙齒症狀和蛀牙、牙髓炎怎麼分?
敏感性牙齒的特色是「刺激來就痛、刺激走就停」,例如吃冰、喝熱水或刷牙時短暫刺痛;但蛀牙或牙髓炎的疼痛,往往持續時間較長,甚至會自發痛或夜間痛。如果你發現疼痛越來越頻繁,或只有單顆牙特別敏感,就不能一直忍著,應盡快讓專業醫師檢查來釐清真正原因。
Q4:用抗敏感牙膏,就等於完成敏感性牙齒怎麼治療了嗎?
抗敏感牙膏確實是常見的敏感性牙齒止痛方式,能暫時封閉牙本質小管、降低神經刺激,但它並不等於完整治療。若敏感性牙齒原因是刷耗、牙齦萎縮或咬合問題,只靠牙膏往往效果有限。當症狀反覆或改善不明顯時,仍需由牙醫評估是否需要塗氟、樹脂填補或其他治療。
Q5:什麼情況下,敏感性牙齒一定要看牙醫?
當你用了應急方式來舒緩敏感性牙齒,可是止痛只能維持短時間、症狀超過兩週仍未改善,或是伴隨自發痛、咬合痛、牙齦腫脹時,就不建議再自行觀察了!這些狀況可能代表敏感性牙齒原因不單純,甚至已合併蛀牙或裂齒。及早由牙醫診斷,才能真正解決問題,也能避免後續更複雜的治療。
敏感性牙齒不是小事,找對原因才能真正告別酸痛
敏感性牙齒看似只是吃冰、喝熱會不舒服,但背後往往反映的是牙齒保護結構正在受損。無論是刷牙習慣、飲食型態,還是牙齦萎縮、磨牙等問題,都可能成為敏感性牙齒原因。與其反覆忍耐、只靠暫時的敏感性牙齒止痛方式,不如正視症狀、釐清原因,才能縮短敏感性牙齒多久會好的時間。因此,如果你的敏感性牙齒症狀持續或反覆出現,小編建議你立即透過牙醫師的專業評估與治療,這樣才能真正讓牙齒恢復穩定,安心享受每一口食物!

敏感性牙齒怎麼辦?原因、止痛與治療懶人包
延伸閱讀:更多蛀牙治療與預防一次看懂
如果你已經了解蛀牙前兆的形成原因與警訊,但想更清楚「蛀牙開始痛時怎麼辦?」或「補牙後如何避免再蛀?」以下替你整理蛀牙主題必讀指南。建議依照兩大方向閱讀,協助你在不同階段做出最正確的口腔照護決策。
方向1:蛀牙開始痛怎麼處理?了解症狀與治療方式
這篇會帶你了解不同程度蛀牙的症狀(從輕微到劇痛),並解析補牙、根管治療等方式怎麼選、價格落在哪裡,是已經開始痛的患者最需要的第一篇。
👉適合族群:已經出現牙痛/夜間痛/刺激痛、想知道該補牙還是要抽神經、想了解蛀牙治療流程與價格
方向2:蛀牙處理後如何避免再蛀?建立長期口腔保護策略
這篇整理補牙後該做什麼、如何預防再蛀、牙線與清潔的重要性,也是日常保養與維持口腔健康不可或缺的延伸閱讀。
👉適合族群:剛補牙、剛治療完蛀牙、想避免二次蛀牙或補牙邊緣蛀牙、想學習正確刷牙/飲食/保健方式