🔥 朱耕甫醫師 的專業解答
蛀牙前兆最早的警訊常常不痛、不腫,只會悄悄出現在牙齒表面,例如看似無害的「脫鈣白斑」、霧面白區、牙縫卡食、吃甜食會酸或出現細小黑點。這些症狀代表琺瑯質正在被溶解,是蛀牙形成的第一步,若沒有及早處理,脫鈣會逐漸擴大成真正的蛀洞,最後可能需要補牙、抽神經甚至做牙套。
蛀牙是如何形成的?牙菌斑、酸蝕及清潔原因
蛀牙多半來自牙菌斑累積+酸性環境長期侵蝕牙齒。簡單來說,蛀牙不是突然發生,而是細菌、食物殘渣、酸蝕與時間共同作用的結果。當牙齒長時間處在酸性環境中,最外層的琺瑯質會逐漸脫鈣,形成白斑,再繼續惡化就會變成真正的蛀牙。現在就跟著小編一起了解導致蛀牙形成的核心原因究竟有哪些吧:
牙菌斑堆積:蛀牙細菌的溫床
- 牙菌斑是細菌、食物殘渣與唾液成分混合形成的軟性薄膜。
- 口腔常見引發蛀牙的細菌包含變形鏈球菌(Streptococcus mutans),這種細菌會分解糖分並產生酸。
- 若未確實刷牙與使用牙線,牙菌斑會持續累積並開始侵蝕琺瑯質。
酸蝕作用:牙齒脫鈣的起點
- 當細菌代謝糖分後,口腔pH值會下降至臨界酸度,也就是pH 5.5以下,開始溶解牙齒的礦物質。
- 酸蝕會破壞琺瑯質表層,使牙齒出現白斑或霧面,這正是蛀牙初期徵兆的起點。
- 若酸蝕反覆發生,就會從琺瑯質侵入更裡面的象牙質時,便會開始出現酸痛感。
飲食與生活習慣:糖分、點心與含糖飲料是大敵
- 頻繁攝取含糖食物、碳酸飲料、酸性飲品(手搖飲、氣泡水)會大幅增加口腔酸性負荷。
- 少刷牙、睡前未清潔口腔、長期口腔乾燥(唾液不足)也都會提高蛀牙風險。
- 「吃糖的頻率」比「吃多少糖」更重要,如果你吃點心的頻率較高,就很可能成為蛀牙高風險族群。
牙齒天生構造差異:窩溝深、牙縫狹窄更容易蛀
- 兒童臼齒的窩溝較深,容易藏食物殘渣。
- 若你的牙齒排列不整齊、牙縫卡食物,產生初期蛀牙的可能性就越高。
- 若你的唾液分泌少或是患有口腔乾燥症,在缺乏唾液緩衝酸性的情況下,便更容易蛀牙。
蛀牙初期能自己好嗎?3個常見迷思破解
蛀牙初期無法完全靠自己痊癒,但「脫鈣階段」若及早處理,仍有機會藉由再礦化(reverse demineralization)減緩或阻止惡化。不少人上網搜尋「蛀牙有可能自己好嗎」、「蛀牙初期怎麼辦」時,往往受到錯誤資訊影響,以為多刷牙、吃鈣片、美白牙膏就能讓蛀牙痊癒,但事實並非如此!接下來,小編就帶你破解最常見的三大迷思,讓你正確理解輕微蛀牙的處理方式:
迷思一:多刷牙就能修復蛀牙?
- 刷牙能清潔牙菌斑,但無法修補已受破壞的琺瑯質。
- 當蛀牙已形成窩洞,刷牙再勤也無法讓牙齒組織「長回來」。
- 初期牙齒脫鈣仍可藉由含氟產品與牙醫處置改善,但一旦變成真正蛀洞就無法自行逆轉。
迷思二:吃鈣片或美白牙膏能讓牙齒再鈣化?
- 鈣片無法直接回到牙齒表面,因此補鈣≠修復琺瑯質。
- 美白牙膏主要是改善外觀,不是治療蛀牙,也不能強化脫鈣區域。
- 牙齒再礦化需要「局部」作用,例如含氟化物或專業塗氟,而非口服保健食品。
迷思三:蛀牙不痛就不需要看牙醫?
- 輕微蛀牙幾乎都不會痛,因為只在琺瑯質層,不會刺激到神經。
- 不痛並不代表安全,甚至可能代表蛀牙已到象牙質、即將引發敏感。
- 若蛀到牙髓前仍未處理,後續可能變成劇痛而需要根管治療。
數據引用:世界衛生組織(WHO)指出,口腔疾病影響將近37億人,其中「未治療的永久牙蛀牙」是全球最常見的健康問題之一;這些疾病雖然多半可預防、可在早期治療,但若放著不管,會帶來明顯的疼痛、感染甚至牙齒喪失。這也代表蛀牙並不會自己消失,而是需要及早由牙醫介入處理。(數據來源:世界衛生組織《Oral Health 口腔健康》)
蛀牙前兆7大症狀,一開始其實不會痛
蛀牙前兆多半「沒有痛感」,初期通常只有細微變化,例如牙齒脫鈣白斑、吃甜食輕微酸一下、牙縫卡卡等。這些其實都是輕微蛀牙的起點,但因為不痛,常常被忽略,導致從可逆變成不可逆!以下,小編就帶你全面辨識「蛀牙前兆有哪些」,避免錯過治療黃金期:
牙齒表面出現白斑或霧面區域(牙齒脫鈣)
- 表面呈現白色、粉白色、霧面質地,是琺瑯質被酸蝕後的脫鈣現象。
- 許多人上網搜尋「牙齒白斑是不是蛀牙」,答案是肯定的!牙齒脫鈣正是輕微蛀牙的起點!
- 若能及早改善口腔環境,有機會透過再礦化減緩惡化。
窩溝與牙縫出現顏色變深、小黑點
- 黑點表示琺瑯質表層已被細菌入侵,是蛀牙初期常見的外觀變化。
- 常見於後牙咬合面窩溝、牙縫內側,尤其牙縫蛀牙初期更不容易發現。
- 若觸感變粗糙,意味著蛀牙已經開始朝著象牙質發展了。
吃甜食或喝冰水會有輕微酸感
- 冷、熱、酸、甜刺激造成一陣子短暫敏感,是象牙質受到外界刺激的警訊。
- 輕微敏感往往代表蛀牙已經不只在表面。
- 許多人會誤以為是敏感牙,其實是蛀牙初期怎麼辦的典型症狀。
食物容易卡在牙縫
- 原本不會卡菜渣的牙縫突然卡了,可能是牙縫蛀牙造成的牙縫變大。
- 食物殘渣卡在牙縫會加速蛀牙循環,越卡越大洞。
- 這種情況最常發生在後牙與後牙之間的牙縫,稱作「接觸點蛀牙」。
牙齦紅腫或流血
- 蛀牙造成牙齒破損或牙縫變大時,食物殘渣悶在牙齦邊,導致牙齦發炎。
- 當口臭、牙肉腫脹這兩個症狀也出現時,常是蛀牙與牙周問題一起發生。
- 若長期忽視,後續可能演變成牙周病。
持續性口臭或咬合時輕微不適
- 蛀牙產生的細菌與腐敗組織會釋放異味,形成口臭。
- 咬合時因不明原因卡卡的或是有輕微壓痛感,則可能是蛀牙已接近象牙質深層。
- 若伴隨著吃甜食和冷食會感到酸痛,更需要警覺。
牙齒結構變脆弱、容易磨損或輕微崩裂
- 當蛀牙侵蝕到象牙質,牙齒會變得更容易缺角或崩裂。
- 這種情況往往是輕微蛀牙被忽略太久的結果。
- 如果牙齒崩裂伴隨黑洞,多半已屬中度蛀牙。

蛀牙前兆七大症狀
資料引用:論文《Detection, Diagnosis, and Monitoring of Early Caries: The Future of Individualized Dental Care》內容提及,蛀牙在琺瑯質未成洞階段可逆,但一旦有了更深的進展就不可逆了。(資料來源:《早期齲齒的檢測、診斷和監測:個人化牙科護理的未來》)
牙齒「脫鈣」與「鈣化」:初期蛀牙的關鍵分辨點
牙齒脫鈣與牙齒鈣化看起來都會出現白白的痕跡,但很多人不知道,其實兩者意義是完全不同的!脫鈣通常是初期蛀牙前兆,鈣化則是礦物質沉積,不一定危險。辨識這兩者差異,是判斷「牙齒白斑是不是蛀牙」的關鍵,也是決定「蛀牙初期怎麼辦」的重要第一步。
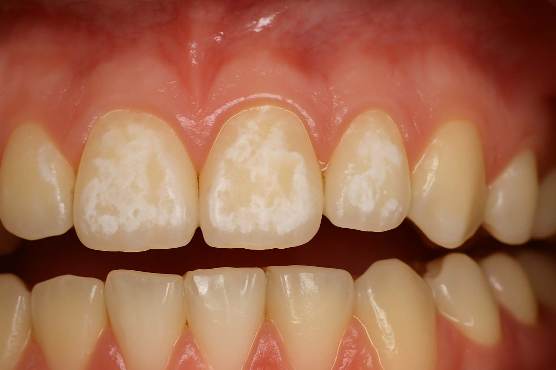
脫鈣=蛀牙的初期徵兆

蛀牙前兆-牙齒脫鈣(圖片來源:Demineralization Of Teeth: Causes, Symptoms And Treatment Of Demineralization)
- 脫鈣是琺瑯質中的礦物質流失,常表現為霧面白斑或粉筆白。
- 原因多為牙菌斑長期附著、酸性環境使琺瑯質被溶解。
- 這類白斑通常偏霧面、粗糙,位置多在牙齦緣或矯正牙套附近。
- 若持續放著不處理,就會從輕微蛀牙惡化成真正的蛀洞。
鈣化=礦物質沈積,不一定是蛀牙

礦物質沉積-牙齒鈣化(圖片來源:Enamel defects (Hypoplasia and Hypo-calcification))
- 鈣化通常是牙齒表面沉積較硬的鈣化斑塊,顏色可偏白或偏黃。
- 多與飲食、口水礦物質含量或舊牙菌斑鈣化(初期牙結石)有關。
- 顯現為亮面白斑,而非霧面,通常不具「蛀牙活性」。
- 仍需清潔與追蹤,但不等於牙齒正在被蛀蝕。
| 判斷項目 | 牙齒脫鈣(初期蛀牙前兆) | 牙齒鈣化(礦物質沈積) |
|---|---|---|
| 形成原因 | 琺瑯質礦物質流失(酸蝕、牙菌斑堆積) | 礦物質沉積、牙菌斑鈣化、口水硬度高 |
| 外觀呈現 | 粉白色、霧面、無光澤 | 白色或偏黃、亮面、有光澤 |
| 觸感 | 粗糙、乾燥感 | 光滑、堅硬 |
| 是否會變嚴重? | 會,若未處理可能形成蛀洞 | 不會,但若為牙結石會導致牙周問題 |
| 是否可逆? | 有機會再礦化,但需積極處置 | 多為穩定狀態,不需特別逆轉 |
| 需不需要補牙? | 有機會需要,如果已進入蛀蝕階段 | 通常不需要補牙 |
| 建議處理方式 | 塗氟、改善口腔清潔、飲食控制 | 洗牙去除表面沉積、維持清潔 |
牙醫如何判斷牙齒脫鈣還是鈣化:專業工具與檢測方式
- 口內檢查與光照判斷表面質地,看是霧面的還是光亮的。
- 探針檢測是否有表面粗糙與軟化現象。
- X光確認是否已有牙本質蛀蝕範圍。
- 使用雷射螢光儀偵測蛀牙活性與深度。
- 必要時,拍攝口內攝影追蹤白斑變化。
初期蛀牙治療與預防:掌握逆轉關鍵期
你知道嗎?初期蛀牙若及早處理,仍有機會逆轉或阻止惡化!因此,掌握脫鈣白斑階段,是避免演變成真正蛀洞的關鍵。若你正在疑惑「蛀牙初期怎麼辦?」、「輕微蛀牙一定要補嗎?」,以下內容可以幫助你釐清問題:
專業處理:塗氟與窩溝封閉
- 塗氟治療可強化琺瑯質,讓輕微蛀牙或脫鈣區域有再礦化機會。
- 窩溝封閉適用於臼齒深窩溝,可阻隔細菌、食物殘渣,特別適合蛀牙風險高的族群。
- 這些方式特別適合兒童與青少年,因為這兩個族群的牙齒表面較不成熟,比較容易脫鈣。
必要時:局部微創補牙
- 當脫鈣已轉為實質蛀洞,且牙齒表面出現軟化或粗糙,就需要微創補牙介入。
- 微創補牙只會去除受蛀蝕區域,能保留最大量健康牙齒結構。
- 齒雕或樹脂補牙會依照蛀牙深度與位置決定,確保咬合穩定不影響日常生活。
日常護理:改善刷牙習慣與飲食調整
- 採用標準貝式刷牙法,有效清除牙菌斑。
- 含氟牙膏、間歇性使用含氟漱口水能提升琺瑯質抗酸能力。
- 減少含糖及酸性飲品的攝取,降低口腔酸蝕、抑制蛀牙細菌活動。

初期蛀牙治療與預防
🔔朱耕甫醫師 的說法:
如果你已經懷疑自己出現了蛀牙前兆,越早檢查越能避免後續補牙甚至根管治療。建議立即前往診所由專業醫師評估是否需要塗氟、封溝或補牙,盡早在可逆階段就遏止蛀牙。
【孫佳賢醫師解析】補牙後反而更痛?揭密蛀牙治療後的敏感真相與適應期
- 為什麼原本不痛的蛀牙,補完牙後反而會酸痛?
這在臨床上相當常見,主因是蛀牙深度若已接近神經所在的牙本質,治療過程中的刺激,或補牙材料作為外來物與神經的互動,都可能導致術後出現短暫的酸痛感。 - 醫師在補深層蛀牙時,會有哪些保護措施?
針對較深、離神經較近的蛀牙,醫師會預先填補如「氫氧化鈣」或「MTA」等較溫和的材料,以緩解神經敏感的症狀。 - 補牙後的敏感不舒服,通常會持續多久?
每個人對補牙材料的適應期不同,有些人可能一到兩週就能恢復,也有些人會持續數個月。 只要沒有出現劇烈的疼痛,通常建議持續觀察即可。
📍如何找尋可以阻止蛀牙繼續惡化的牙醫師?
當你發現牙齒出現白斑、敏感、咬合不適、牙縫卡食物或小黑點時,請不要只靠肉眼判斷、也不要拖著觀察,因為這些看似輕微的變化,往往正是蛀牙前兆或牙齒脫鈣的警訊!此時最重要的第一步,是找到熟悉蛀牙診斷、微創補牙與牙齒再礦化處置的專業牙醫師。具備經驗的醫師能分辨你目前是脫鈣階段、輕微蛀牙,還是已經變得更嚴重,需要及早處理。許多蛀牙惡化到必須抽神經或做牙冠的案例,往往都是初期沒有即時檢查,錯過最能逆轉蛀牙的黃金時間。只有找對醫師、及早介入,才能真正阻止蛀牙持續惡化。
此時,小編推薦你使用牙醫小幫手預約平台,讓你快速找到適合的牙醫師,不用再打電話一間間詢問、不怕預約不到、也能參考其他病患的實際回饋,讓你的看診經驗更加安心有效率喔!
👇只需三步驟,線上預約超方便!
Google搜尋「牙醫」:第一個即可找到牙醫小幫手預約平台
搜尋您想看診的項目、地區和時間:有多位蛀牙治療相關牙醫師可以選擇,不怕沒時間
選擇評價良好且有空檔的牙醫師:有40萬則評價供參考,可篩選出擁有不同面向(看診態度、技術、診所環境、醫療團隊氣氛)好評的醫師,例如「醫生細心,任何問題都可以放心詢問,超讚👍🏻」、「環境乾淨,設備新穎,醫師對兒童也很耐心。」、「技術超專業,護理師們也很細心。下次會定期來保養牙齒」等等。
送出線上預約:請準時前往喔!

蛀牙前兆常見問題
你是否曾在發現牙齒出現白斑、敏感、輕微酸痛或咬東西怪怪的時候,懷疑這是不是蛀牙前兆,但又不確定該不該緊張呢?為了幫助你快速釐清狀況,小編整理了最常被問到的五個蛀牙前兆問題,協助你判斷白斑、酸感、卡食或敏感究竟代表什麼,以及何時該及早就醫,避免小問題拖成需要抽神經的大麻煩。
Q1:蛀牙會自己好嗎?
蛀牙一旦突破琺瑯質、形成真正的蛀洞,就屬於不可逆的牙齒破壞,齒質不可能靠任何牙膏、漱口水或營養品自然長回來。唯一有機會逆轉的階段,是「脫鈣」——也就是牙齒表面剛出現粉白色霧面白斑時,透過氟化物與飲食控制才可能再礦化修復。
因此,如果你正疑惑「蛀牙有可能自己好嗎?」答案是不可能,尤其當你已經感到酸痛、卡食或看到黑點時,就代表蛀牙已經進展,必須盡快接受牙醫處置。
Q2:蛀牙初期發現白點,一定要立刻補牙嗎?
牙齒出現白點時,其實並不一定要馬上補牙,因為白點的成因可能是「脫鈣」或是「鈣化」,兩者意義完全不同。如果白點呈現霧面、質地粗糙,那很有可能是初期蛀牙前兆;若白點亮亮的、表面依然光滑,可能只是無害的鈣化沉積。
因此,是否需要補牙不能靠自己肉眼判斷,而是需要牙醫師透過探針、光線檢查、甚至是X光來確認是否已經出現齒質破壞。若仍在脫鈣階段,通常可先用塗氟與改善清潔來控制,不必急著補牙。
Q3:怎麼分辨牙齒酸是蛀牙還是敏感牙?
很多人覺得牙齒酸就等於蛀牙,但實際上蛀牙與敏感牙的酸感完全不一樣。蛀牙的酸痛通常發生在特定位置,例如吃甜食、喝冰水或咬到某一顆牙時會出現短暫刺痛;敏感牙則多由牙齦退縮、琺瑯質磨損引起,疼痛通常分布較廣且容易受到冷熱刺激影響。另一個差異是蛀牙常伴隨白斑、黑點或卡食問題,而敏感牙通常看不出外觀變化。所以,若你近期常出現「特定點」的酸痛,就更需要留意是否已經出現蛀牙前兆。
Q4:牙齒脫鈣的白點會自己消失嗎?
牙齒脫鈣是蛀牙前兆之一,表現為粉白、霧面、乾燥感的白斑。這類白斑確實「有機會」透過再礦化改善,但前提是你必須積極調整刷牙方式、減少酸性飲食,並搭配含氟產品讓礦物質重新回到琺瑯質中。如果放著不管,脫鈣會慢慢變成黃斑、棕斑,最後發展成實際蛀洞,需要補牙介入。
也就是說,當你看到白斑時,千萬不要等它自己好,因為能否逆轉完全取決於你是否在黃金階段讓牙醫師介入處置。
Q5:補牙後還會再蛀嗎?怎麼預防?
當然!補牙之後還是有可能再度蛀牙,尤其補牙邊緣是蛀牙菌最容易藏匿的區域。如果清潔習慣沒有改善,即使補了新材料,蛀牙依然可能沿著填補物邊緣侵入牙齒內部,甚至形成更難處理的「二次蛀牙」。
預防的核心不只是補牙本身,而是:確實使用牙線、改善刷牙方式、減少含糖飲食、並定期回診檢查補牙邊緣是否密合。只要維持良好習慣,大部分的補牙都能長期穩定,不必擔心一補再補。
發現蛀牙前兆就別再拖延了!維護牙齒健康從即時行動開始
當你察覺牙齒出現白斑、敏感、咬東西不適或食物容易卡住時,這些都不是可以自行觀察的狀況,而是蛀牙可能正在悄悄形成的警訊。許多人因為初期不痛而延誤治療,錯過脫鈣階段能逆轉的機會,最終從原本只需塗氟保養,演變成補牙甚至根管治療。
由於牙齒一旦遭破壞就不會自行修復,因此只要你開始懷疑「牙齒白斑是不是蛀牙?」,或是發現牙齒出現任何異狀,最好的做法就是立即預約牙科檢查。及早處理,永遠比事後補救更簡單、省時,也能幫你保留更多健康齒質喔!

蛀牙前兆有哪些?一張圖帶你看懂初期蛀牙警訊
延伸閱讀:更多蛀牙治療與預防一次看懂
如果你已經了解蛀牙前兆的形成原因與警訊,但想更清楚「蛀牙開始痛時怎麼辦?」或「補牙後如何避免再蛀?」以下替你整理蛀牙主題必讀指南。建議依照兩大方向閱讀,協助你在不同階段做出最正確的口腔照護決策。
方向1:蛀牙開始痛怎麼處理?了解症狀與治療方式
這篇會帶你了解不同程度蛀牙的症狀(從輕微到劇痛),並解析補牙、根管治療等方式怎麼選、價格落在哪裡,是已經開始痛的患者最需要的第一篇。
👉適合族群:已經出現牙痛/夜間痛/刺激痛、想知道該補牙還是要抽神經、想了解蛀牙治療流程與價格
方向2:蛀牙處理後如何避免再蛀?建立長期口腔保護策略
這篇整理補牙後該做什麼、如何預防再蛀、牙線與清潔的重要性,也是日常保養與維持口腔健康不可或缺的延伸閱讀。
👉適合族群:剛補牙、剛治療完蛀牙、想避免二次蛀牙或補牙邊緣蛀牙、想學習正確刷牙/飲食/保健方式