🔥朱耕甫醫師的專業解答
冷光美白價格通常落在約12,000至18,000元之間,實際費用會依診所設備、醫師經驗與個人牙齒染色程度而有所差異。其原理是透過高濃度過氧化氫搭配低溫藍光,加速分解牙齒內外層的色素,使色階明顯提升,特別適合因咖啡、茶或吸菸導致牙齒變黃者。不過,若有牙周病、蛀牙或敏感問題,仍需先由醫師評估再進行療程。
冷光美白是什麼?原理介紹
冷光美白原理的核心在於「美白藥劑+光源催化反應」,讓牙齒中的色素被分解,進而提升齒色亮度。一般診所進行冷光美白療程時,會先在牙齒表面塗抹含有過氧化氫(Hydrogen Peroxide)的美白藥劑,再利用特定波長的冷光燈照射,促使藥劑釋放活性氧(Reactive Oxygen Species),進一步分解牙齒中的色素分子。這種方式能讓原本較深的色素被拆解為較小、顏色較淡的分子,因此牙齒視覺上會變得更白、更明亮。
美白藥劑作用:過氧化氫分解色素分子
- 冷光美白常使用過氧化氫或過氧化脲(Carbamide Peroxide)作為主要美白成分。
- 這些成分會釋放活性氧,與牙齒內部的色素分子產生氧化反應(Oxidation reaction)。
- 色素原本是較大的深色分子,經過反應後會被分解成較小且顏色較淡的分子。
冷光照射作用:加速美白反應效率
- 冷光燈的主要功能是「催化反應」,讓美白藥劑更快速釋放活性氧。
- 在適當的光照條件下,色素分解速度會加快,因此冷光美白療程通常約60–90分鐘即可完成。
- 冷光本身不會直接漂白牙齒,而是輔助藥劑反應,使冷光美白療程效果更明顯。
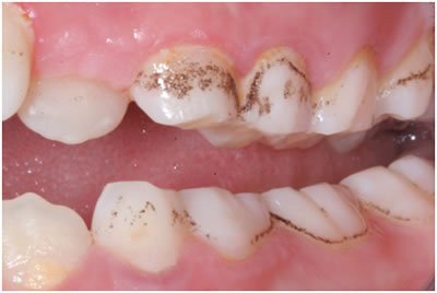
牙齒結構影響:冷光美白較適合「外因性染色」族群
- 牙齒最外層為琺瑯質(Enamel),內層則是偏黃的牙本質(Dentin)。

外因性染色者,可透過冷光美白改善(圖片來源:What are the different types of teeth stains?)
- 外因性染色,例如咖啡、茶、菸垢附著於牙齒表面,通常較容易透過冷光美白改善。

內因性染色者,冷光美白效果較有限(圖片來源:What you need to know about whitening your teeth)
- 若色素存在於牙本質較深層,屬於內因性染色的話,例如四環黴素牙或根管治療後變色,冷光美白效果可能較有限。
冷光美白和居家美白一樣嗎?快速了解兩者差別
冷光美白與居家美白其實是兩種不同的牙齒美白方式:冷光美白是在牙醫診所進行、效果較快速;居家美白則是透過牙托與低濃度美白藥劑,在家中慢慢讓牙齒變白。它們在效果速度、操作方式與適合族群上都有明顯差異。因此,如果你希望在短時間內看到效果,冷光美白通常較適合;若希望溫和漸進改善齒色,居家美白也是常見選擇。
冷光美白:診所進行、效果快速
- 冷光美白療程是在牙醫診所由專業牙醫師操作完成。
- 透過高濃度美白藥劑搭配冷光照射,分解牙齒中的色素分子。
- 一般約60–90分鐘即可完成療程,當天通常就能看到齒色提亮。
居家美白:在家配戴牙托、逐漸改善齒色
- 居家美白通常由牙醫師製作客製化牙托,並提供較低濃度美白藥劑。
- 患者在家依照指示配戴牙托,每天持續使用一段時間。
- 效果通常需要約2–3週才會逐漸顯現。
為什麼有些人會選擇冷光美白,有些人選擇居家美白?
- 若有拍照、婚禮或重要場合需求,希望快速改善齒色,冷光美白會較適合。
- 若希望慢慢提亮齒色,並減少牙齒敏感的機率,居家美白可能更合適。
- 有些人也會先做冷光美白,再搭配居家美白維持效果。
哪些族群適合冷光美白呢?
冷光美白主要針對「牙齒變色」與「外觀提升需求」設計,但並非所有人都適合進行療程。通常而言,適合族群多半具有明確的美觀需求,並希望在相對短時間內看到改善;然而,若牙齒或牙周處於不穩定狀態,則應優先處理基礎治療問題。在評估是否接受冷光美白前,建議由醫師進行完整口腔檢查,確認牙齒與牙周健康狀況,才能兼顧效果與安全性。
適用對象有哪些?
- 牙齒外因染色者:因飲食習慣(如咖啡、茶、紅酒)或吸菸導致的牙齒黃化。
- 重要場合需求者:需要在短時間內改善牙齒外觀,例如婚禮、面試或公開演講等場合。
- 想快速提升美觀度者:例如不希望長時間配戴牙托者、不想進行多週居家美白者、對笑容整體質感要求較高者,或是需要頻繁社交者,都特別適合。
不適用於哪些對象?
- 孕婦及哺乳期女性:因為高濃度美白藥劑可能對胎兒或嬰兒有潛在風險。
- 牙齒敏感者:美白藥劑可能加重牙齒敏感的症狀。
- 牙周病患者:未解決的牙周疾病會影響美白效果,建議完成牙周治療後再進行美白。
- 蛀牙未治療者:損壞的牙齒可能無法承受高濃度藥劑的作用,應先補牙或完成修復治療較為理想。

冷光美白前要知道哪3件事?療程前先建立正確觀念
做冷光美白前,最重要的是了解療程效果、可能的暫時反應,以及是否適合自己的牙齒狀況。許多人在搜尋冷光美白價格或冷光美白療程時,往往只關心效果與費用,但其實牙齒變色原因、牙齒健康狀況與生活習慣,都會影響最終結果喔!建立正確觀念,不僅能避免療程後的落差,也能幫助你在評估冷光美白副作用與效果時做出更合適的決定。
了解美白效果:每個人的齒色改善程度不同
- 冷光美白主要是分解牙齒中的色素分子,因此效果會受到原始齒色影響。
- 若牙齒泛黃是由咖啡、茶、菸垢等外因性染色造成,冷光美白通常改善較明顯。
- 若是四環黴素牙、根管治療後變色等內因性染色,冷光美白效果可能較有限。
有些人可能會出現冷光美白副作用
- 部分人在療程後可能出現短暫牙齒敏感,通常數天內會逐漸改善。
- 若美白藥劑不慎接觸牙齦,可能造成短暫刺激或發白現象。
- 在專業牙醫師評估與操作下,大多數副作用都屬於短暫且可控制的情況。
先確認口腔健康狀況是否適合美白
- 若有蛀牙、牙周病或牙齦發炎,通常需要先治療再進行冷光美白療程。
- 如果你的牙齒過度敏感或有裂痕,也可能需要先由牙醫師評估風險。
- 有假牙、陶瓷貼片或大型補牙的牙齒,美白效果可能與天然牙齒不同。
資料引用:
根據多項研究顯示,在牙科專業人員監督下進行的美白療程,不會對琺瑯質造成顯著傷害。(資料來源:《紐卡斯爾牙齒美白:牙齒美白會損傷琺瑯質嗎?》)
【楊敏宏醫師解析】牙齒偏黃怎麼辦?冷光美白原理、效果與術後維持全攻略!
- 冷光美白的原理是什麼?會傷害牙齒嗎?
冷光美白是在牙齒表面塗抹含有過氧化氫的藥劑,透過低溫冷光照射催化,讓藥劑滲透進牙齒組織清除色素。此過程相對安全簡單,且不會傷害到牙齒的法瑯質。 - 為什麼冷光美白一定要由合格牙醫師操作?
因為冷光美白使用高濃度的美白藥劑,若在沒有醫師專業評估與操作下使用,容易導致口腔內的黏膜受損或造成創傷。 - 冷光美白通常可以達到什麼樣的效果?
一般來說,透過冷光美白療程,患者的牙齒顏色大約可以美白 6 到 12 個色階,明顯改善因咖啡、茶飲等因素造成的牙齒偏黃問題。 - 冷光美白的效果可以維持多久?術後該如何保養?
若有妥善保養,效果通常可維持一到兩年。術後應像保養皮膚一樣,盡量減少攝取咖啡、茶或深色蔬果等容易造成色素沉澱的食物。
冷光美白治療要多久時間?
一般來說,一次冷光美白療程大約需要60至90分鐘即可完成。冷光美白療程會先進行牙齒清潔與評估,再塗抹美白藥劑並搭配冷光照射,使色素分解。也就是說,大多數診所都能在一次療程內完成,並在當天看到齒色提亮的效果。
為什麼冷光美白能在短時間內看到效果?
- 冷光會加速過氧化氫釋放活性氧,讓色素分解速度提升。
- 活性氧可滲透牙齒表層,分解牙齒內部的色素分子。
- 因此多數人在單次療程後就能看到齒色提亮的變化。
療程時間仍會依個人牙齒條件有所不同
- 牙齒原始顏色較深的人,可能需要較長的照光時間。
- 牙齒敏感度較高者,醫師可能會調整療程時間與藥劑濃度。
- 有些診所也會搭配居家美白,以延長美白效果。
冷光美白多久做一次比較好?
如果你很好奇做完冷光美白後多久需要再做一次,小編幫你解惑:冷光美白通常不需要頻繁進行,大多數人可能在數個月到一年後才需要再次評估。但需要注意,美白效果維持時間會受到飲食習慣、口腔清潔與抽菸等因素影響,因此並沒有固定的標準週期喔!
建議施作頻率:多數人約1至2年評估一次
- 多數人的冷光美白效果可維持約數個月到1年以上。
- 一般建議每12至24個月重新評估是否需要補強療程。
- 若經常飲用咖啡、茶或紅酒,齒色可能較快出現染色。
- 良好的口腔清潔習慣能幫助延長美白效果。
是否需要補做療程?先看「退色程度」
- 若僅有輕微變黃,可透過居家美白作為維持策略。
- 色階明顯下降時,再考慮進行冷光補強。
- 不必過度頻繁施作,以免增加牙齒敏感風險。
資料引用:
根據一項臨床研究顯示,牙齒美白在6個月追蹤期間內仍能維持穩定效果,未出現顯著色階變化。(資料來源:《不同牙齒美白系統的治療時間與美白效果》)
冷光美白療程怎麼進行?
冷光美白療程主要分為「術前評估、牙齒準備與正式美白」三個階段。整個流程通常在牙醫診所內完成,目的是在確保牙齒與牙齦健康的前提下,讓美白藥劑發揮最佳效果。大多數診所的冷光美白療程流程都相當標準化,牙醫師會依照每個人的牙齒狀況調整操作方式與照光時間,以提升美白效果並降低不適風險。
步驟一:術前評估與比色,確認是否適合進行冷光美白
- 牙醫師會先檢查牙齒與牙齦狀況,確認是否有蛀牙、牙周病或牙齦發炎。
- 若牙齒表面有牙結石或牙菌斑,通常會先進行洗牙或拋光清潔。
- 接著透過牙齒比色板與拍照紀錄目前齒色,作為療程前後比較的依據。
步驟二:牙齦隔離與牙齒準備
- 在療程開始前,醫師會先為牙齦塗抹保護劑,避免美白藥劑接觸牙齦。
- 接著在牙齒表面均勻塗抹含過氧化氫(Hydrogen Peroxide)的美白藥劑。
- 同時會讓患者配戴護目鏡,避免冷光照射對眼睛造成刺激。
步驟三:冷光照射進行美白反應
- 使用冷光燈照射牙齒,促使美白藥劑釋放活性氧分解色素。
- 每次照光通常約10–15分鐘,醫師會依齒色狀況調整次數。
- 透過數次照光反應,牙齒中的色素逐漸被分解,使齒色變得更明亮。
冷光美白和其他牙齒美白方式差在哪?
不同牙齒美白方式適合的族群與效果差異很大,冷光美白並不是唯一選擇。很多人在搜尋冷光美白時,也會同時比較居家美白、市售美白貼片、陶瓷貼片或噴砂美白。這些療程在原理、效果、價格與適用對象上都不同,因此了解各種美白方式的差異,才能找到最適合自己的方案。
冷光美白:可以快速提亮齒色
- 透過美白藥劑與光照反應分解牙齒色素。
- 療程通常約60–90分鐘即可完成。
- 適合希望在短時間內改善齒色的人。
居家美白:整體成本較低,但需要時間
- 由牙醫師製作客製牙托,搭配美白藥劑在家使用。
- 通常需持續使用數週,才能漸漸看到效果。
- 適合輕度染色或希望自然變白者。
市售美白貼片:取得容易,但效果有限
- 屬於較低濃度產品,使用方式較簡單。
- 但美白幅度有限,較偏向短期改善。
- 適合預算有限者;但要注意的是,部分使用者可能出現牙齦敏感。
陶瓷貼片:可同時改善齒色和形狀
- 是覆蓋牙齒表面的薄瓷片。
- 不僅可提升亮白度,也能修正齒型與縫隙,效果穩定且持久。
- 適合追求全面笑容改造者。
噴砂美白:對外在染色效果不錯
- 主要利用氣流與粉末去除表面色素。
- 屬於非侵入性療程,無需麻醉且沒有恢復期,對外在染色效果不錯。
- 若屬內部變色或天生齒色較深,改善幅度可能有限。
| 比較項目 | 冷光美白 | 居家美白 | 市售美白貼片 | 陶瓷貼片 | 噴砂美白 |
|---|---|---|---|---|---|
| 費用區間 | 約12,000–18,000元 | 約8,000–15,000元 | 約800–2,000元 | 約25,000–35,000元/顆 | 約2,000–6,000元 |
| 見效速度 | 快速,多半單次可見變化 | 漸進,需數週 | 中等 | 立即 | 立即 |
| 改善程度 | 中~高 | 中 | 低 | 高(含齒型改善) | 低~中 |
| 維持時間 | 視保養而定 | 中等 | 較短 | 長期 | 較短 |
| 適合族群 | 想快速變白者 | 輕度染色者 | 預算有限者 | 全面美學改善者 | 外在染色者 |

冷光美白價格多少才合理?是否在健保給付範圍內?
冷光美白價格通常落在約12,000至18,000元之間,但實際費用仍會受到多種因素影響。你可能在搜尋冷光美白價格時,會發現不同診所報價差異很大,其實這些差異往往與設備、藥劑品質、醫師經驗以及療程內容有關。以下,跟著小編一起來了解影響冷光美白價格的原因,有助於你在比較療程時做出更理性的選擇:
影響價格的常見因素
- 美白藥劑品牌與濃度不同
診所使用的美白藥劑品牌與濃度不同,成本差異會直接反映在療程價格上。例如部分診所使用歐美品牌醫療級美白藥劑,其成本通常比一般產品高,因此療程費用也可能較高。 - 冷光設備與機器種類不同
不同診所使用的冷光設備品牌與技術不同,例如LED冷光系統或高階美白儀器,其設備成本與維護費用都不同,因此也會影響冷光美白療程的整體價格。 - 醫師評估與操作經驗不同
是否由牙醫師親自評估與操作,也會影響療程費用。經驗豐富的牙醫師通常會依牙齒敏感程度與齒色狀況調整療程方式,雖然費用可能略高,但安全性與效果通常更穩定。 - 療程內容是否包含術後維持
有些診所的冷光美白療程會包含居家美白藥劑、牙托或術後追蹤回診,這類完整療程價格通常會比單次照光療程稍高。
費用是否包含健保給付?
- 健保主要給付「治療性」醫療項目,但冷光美白被歸類為美觀改善療程。
- 由於屬於提升外觀的美容型療程,因此不在健保給付範圍內,需由患者自費完成。
為什麼不建議只看價格選擇療程?
- 冷光美白屬於醫療行為,應由牙醫師評估與操作。
- 過低價格可能代表療程流程或設備較簡化。
- 安全性與療程品質往往比單純價格更重要。
冷光美白後要怎麼維持效果?
冷光美白後最重要的注意事項是避免染色飲食、減少牙齒刺激並維持良好的口腔清潔習慣。**若能在術後遵守冷光美白注意事項,例如避免深色食物、維持口腔清潔與定期回診,通常能讓牙齒亮白的效果維持更久,同時降低冷光美白副作用帶來的不適感。
飲食控制
- 避免咖啡、紅酒、茶與巧克力等高色素食物。
- 術後72小時尤其重要,此時牙齒較容易吸附色素。
- 若無法避免,可使用吸管減少色素接觸。
- 餐後以清水漱口,有助降低染色機率。
使用專業牙膏
- 選擇醫師推薦的美白牙膏,有助於維持亮白,同時可降低色素再次附著的機率。
- 避免使用研磨顆粒過粗的產品,以免傷害琺瑯質。
- 可搭配抗敏牙膏,減少短暫敏感不適。
定期檢查與清潔
- 建議每半年進行專業口腔清潔。
- 可去除牙菌斑與表面染色,維持牙齒健康,並讓醫師持續追蹤色階變化。
- 必要時可安排補強型美白療程。
避免吸菸
- 吸菸會加速牙齒再度變色,同時提高牙齦疾病風險。
- 焦油容易附著於牙面,影響美白持久度。
- 減少吸菸也有助整體口腔健康。
減少酸性食物攝取
- 檸檬汁或醋等酸性食物可能影響琺瑯質,建議適量攝取並於餐後漱口。
- 避免酸性飲品長時間停留口中。
- 可搭配含氟產品強化琺瑯質。
📍如何尋找能夠施作冷光美白的專業牙醫師?
當你開始在意牙齒顏色變深、笑容不夠明亮時,比起自行購買美白產品或嘗試偏方,更重要的是先讓專業牙醫師評估是否適合接受冷光美白療程。具備美白經驗的醫師不僅會檢查牙齒與牙周健康狀況,也能判斷你的變色屬於外因性染色還是內部變色,並據此規劃合適的美白方式與療程強度。許多美白效果不理想的案例,往往源自於術前評估不足或療程設計不夠精準,導致色階不均或術後敏感。
此時,小編推薦你使用牙醫小幫手預約平台,讓你快速找到適合的牙醫師,不用再打電話一間間詢問、不怕預約不到、也能參考其他病患的實際回饋,讓你的看診經驗更加安心有效率喔!
👇只需三步驟,線上預約超方便!
Google搜尋「牙醫」:第一個即可找到牙醫小幫手預約平台
搜尋您想看診的項目、地區和時間:有多位可施作冷光美白的牙醫師可以選擇,不怕沒時間
選擇評價良好且有空檔的牙醫師:有40萬則評價供參考,可篩選出擁有不同面向(看診態度、技術、診所環境、醫療團隊氣氛)好評的牙齒美白醫師,例如「醫生細心,任何問題都可以放心詢問,超讚👍🏻」、「舒適的看診經驗破除恐懼感」、「技術超專業,護理師們也很細心。下次會定期來保養牙齒」等等。
送出線上預約:請準時前往喔!

冷光美白常見問題
在評估是否要做冷光美白時,多數人除了關心效果,也會對價格、施作頻率與療程流程產生疑問。以下整理5個常被搜尋的冷光美白問題,幫助你更全面了解冷光美白。
Q1:冷光美白價格為什麼差異這麼大?
冷光美白價格通常落在一定區間內,但實際費用仍會受到多項因素影響,例如診所設備等級、美白藥劑品質、醫師經驗以及術前評估是否完善。部分患者牙齒染色較深,可能需要多次療程,也會使總費用提高。建議不要只以價格高低作為判斷標準,而應同時評估療程安全性與專業度,才能獲得更穩定且理想的美白效果。
Q2:冷光美白多久做一次比較合適?
多數情況下,冷光美白並不需要頻繁施作,通常建議約1至2年評估一次即可。不過,實際間隔仍取決於個人飲食習慣與口腔清潔狀況,例如經常飲用咖啡或茶的人,色素可能較快再次沉積。與其固定週期進行療程,不如定期讓醫師檢查牙齒色階,再判斷是否需要補強,這樣既能維持效果,也能避免過度美白造成敏感不適。
Q3:冷光美白流程會很久嗎?療程當天需要預留多少時間?
一般而言,單次冷光美白療程多半可在約60至90分鐘內完成,包含術前檢查、比色、牙齦防護、美白照光以及術後評估等步驟。由於流程具高度標準化,多數人在一次療程後就能觀察到色階變化。建議安排療程當天避免過度緊湊的行程,讓自己有充裕時間接受治療與聆聽術後照護說明。
Q4:冷光美白流程中會感到疼痛或不舒服嗎?
冷光美白屬於非侵入性療程,多數人在施作過程中不會感到疼痛,僅少部分人可能在照光後出現短暫的牙齒敏感。這種不適通常是暫時性的,並會在數天內逐漸緩解。若本身屬於敏感性牙齒,建議在術前主動告知醫師,以便調整藥劑濃度或搭配抗敏處理,讓整體療程更加舒適。
Q5:冷光美白一次就會變白嗎?還是需要多次療程?
多數人在單次療程後即可感受到牙齒明顯提亮,但實際改善幅度仍與原始齒色及染色類型有關。若屬於長期色素沉積或較深層變色,醫師可能會建議分次施作,以逐步提升色階並維持自然外觀。與其追求過度亮白,不如以「與膚色協調」為目標,通常更能呈現自然且耐看的笑容。
冷光美白值得做嗎?理解價格差異與效果關鍵,才能做出適合自己的選擇
冷光美白不只是「讓牙齒變白」的療程,更是一項結合專業評估、技術設備與術後管理的整體美學投資。其價格雖受到診所設備、醫師專業度與個人牙齒狀況影響,但若能在療程前充分評估需求與預算,多半能獲得兼顧安全與效果的改善體驗。
選擇冷光美白時,建議優先考量診所的專業評估能力,而非單純比較價格。同時,也別忽略術後保養的重要性——避免高色素飲食、使用專業牙膏並維持定期清潔,都是延長亮白效果的關鍵。當療程與日常管理相互配合時,才能讓笑容長時間維持在理想狀態喔!

冷光美白怎麼選?價格、效果與安全重點一次掌握
延伸閱讀:深入了解牙齒美白相關知識
牙齒黃的成因與改善方式不只一種,從生活習慣調整、不同牙齒美白療程,到貼片與修復型治療,各有適合的對象與限制。為了幫助您更全面理解牙齒美白,牙醫小幫手將相關文章整理為四大類,從基礎觀念建立、牙齒美白療程選擇,到特殊狀況處理與居家保養,協助您依照自身需求做出合適判斷。
【了解牙齒黃與美白的基礎觀念】
- 牙齒黃怎麼改善?成因、5大治療方法、保養要點一次看!
從牙齒結構、外因染色到內因變色,完整解析牙齒黃的成因,並整理常見治療方式與日常保養重點,適合第一次想了解牙齒黃改善方向的讀者。 - 牙齒變黃怎麼辦?牙齒黃的原因?教你這3個小動作,改善牙齒黃垢!
聚焦生活中最常造成牙齒黃的原因,並提供簡單可執行的改善技巧,幫助降低牙齒黃累積的速度。
【選擇適合的牙齒美白療程】
- 牙齒美白費用與療程總整理:效果、價格、保養全解析
一次比較多種牙齒美白方式的效果、價格與維持時間,讓想改善牙齒黃的讀者,能在預算與期待之間做出平衡選擇。 - 噴砂美白是什麼?費用、療程、時間、優缺點全介紹
深入介紹噴砂美白的原理與適合族群,特別適合因咖啡、茶垢造成牙齒黃的人參考。 - 冷光美白價格多少?美白原理、適用對象一次搞懂!
說明冷光美白如何快速改善牙齒黃,以及哪些人適合、哪些情況需要特別注意,避免追求快速變白卻忽略風險。 - 「居家美白」熱潮你跟上了嗎?一次了解低價美白牙齒的居家美白方式
完整解析居家美白的操作方式、優缺點與注意事項,適合想在家改善牙齒黃、又擔心敏感問題的族群。
【修復型美白與貼片相關治療】
- 牙齒美白貼片值得嗎?貼片種類、優缺點、價格全解析!
針對天生齒色偏黃或美白效果有限者,深入說明牙齒貼片的適用情境與限制,協助評估是否適合選擇貼片治療。 - 什麼是牙齒貼片?陶瓷貼片跟全瓷冠有什麼不一樣呢?
比較陶瓷貼片與全瓷冠的差異,幫助讀者理解不同修復方式在改善牙齒黃上的角色與影響。
【牙齒外觀與特殊狀況一併處理】
- 牙縫變大怎麼辦?專業牙醫解析常見原因、蛀牙風險與補牙費用
說明牙縫過大與牙齒外觀、自信之間的關聯,並介紹常見治療方式,適合在改善牙齒黃的同時,也在意整體美觀的人參考。